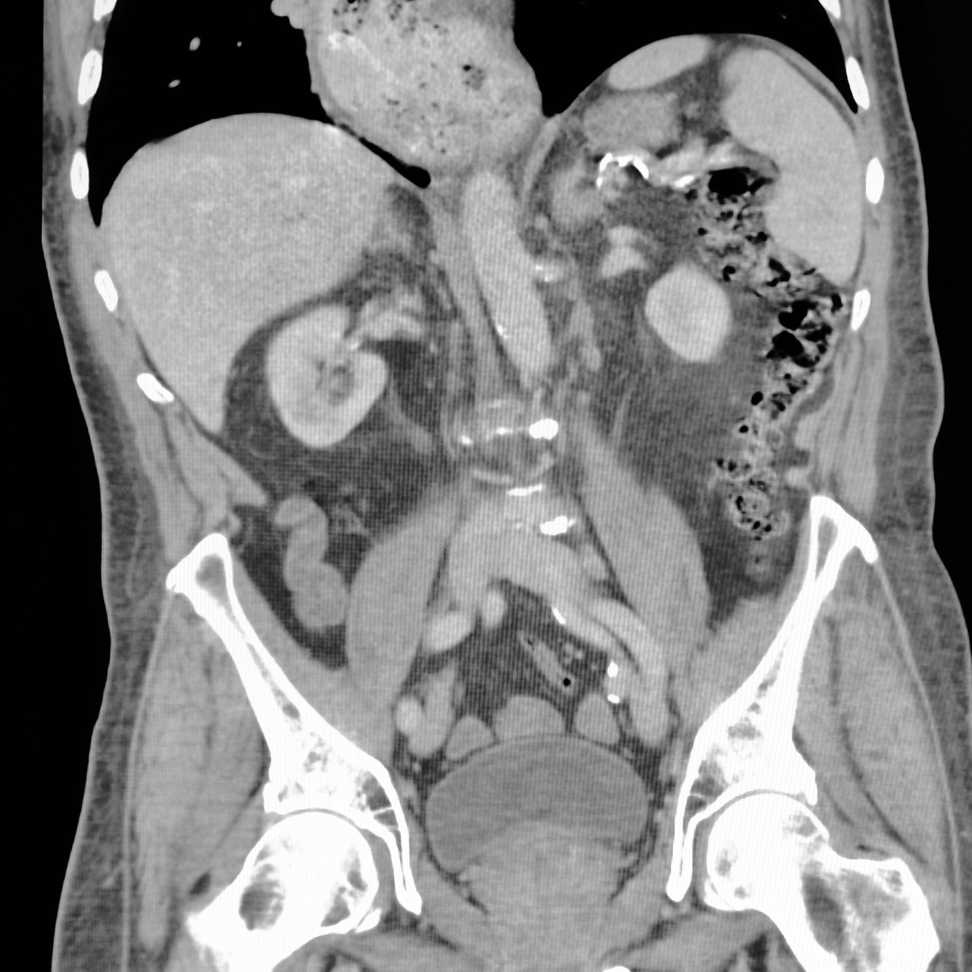
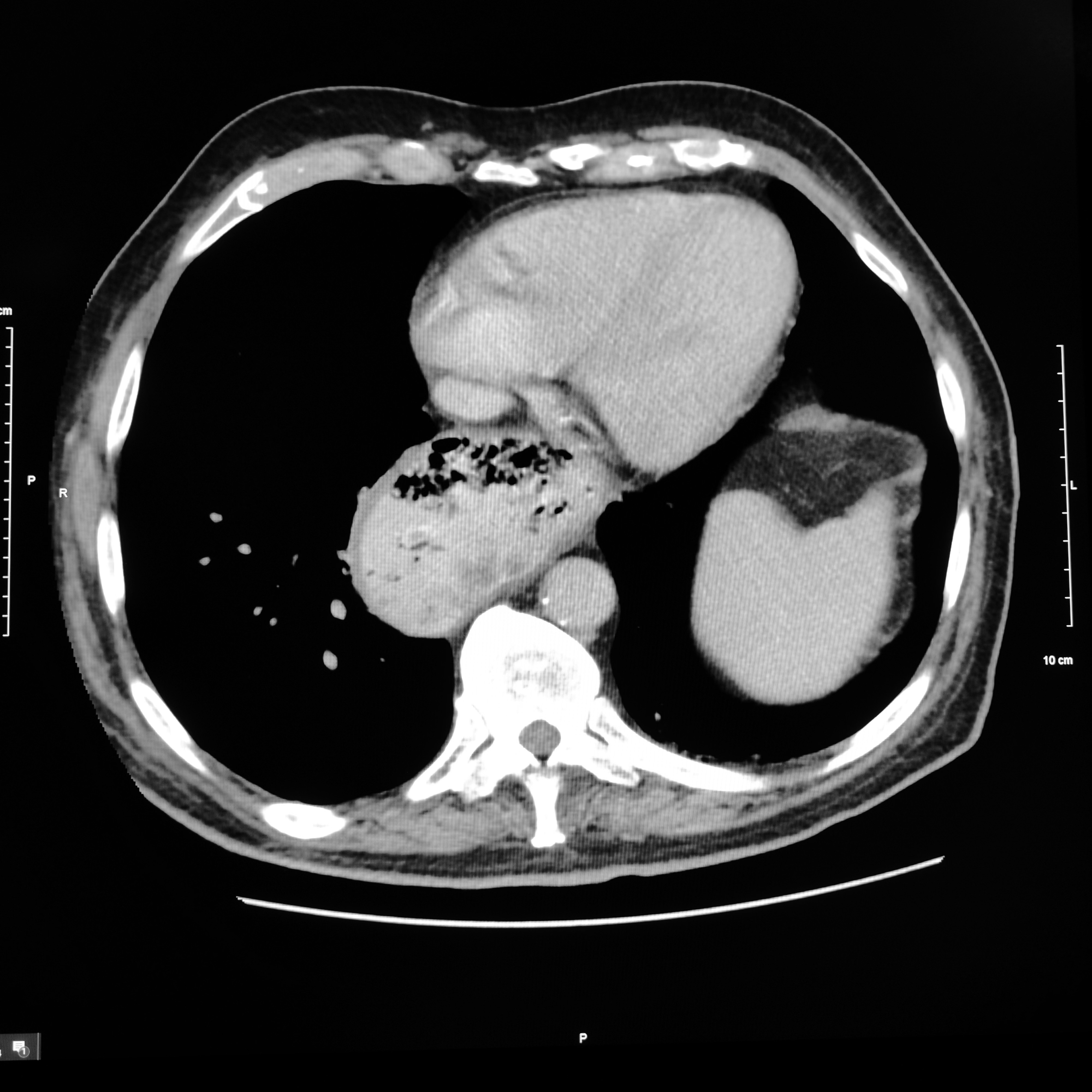
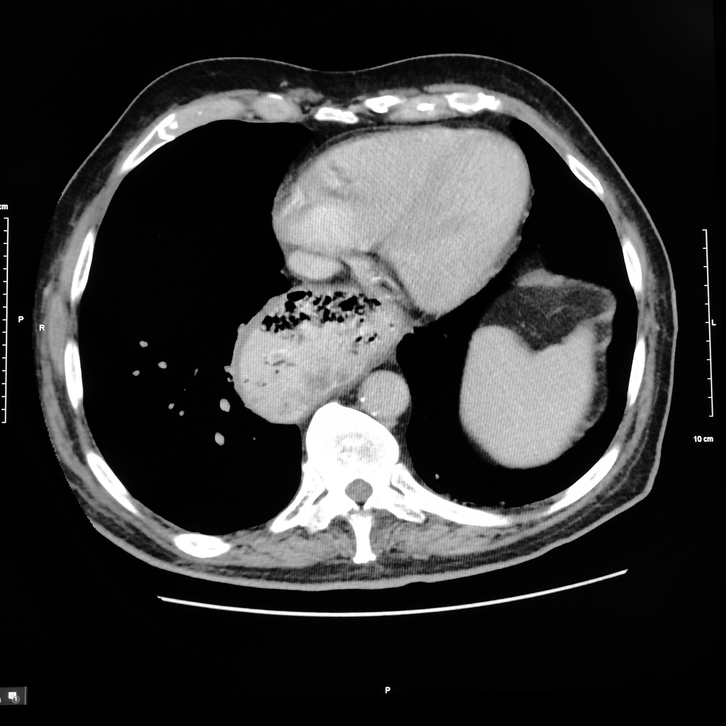
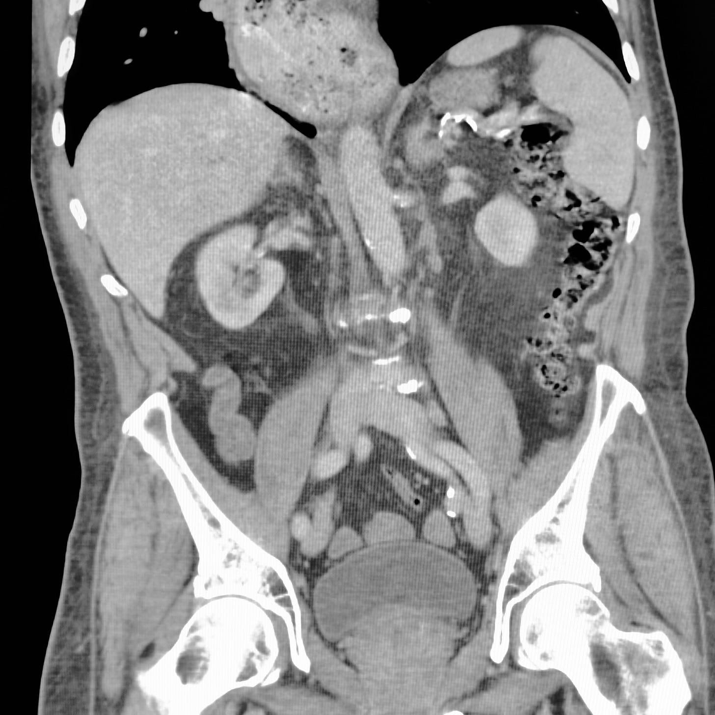
QuizNausea and vomiting for several monthsChestAlexander BaxterFeb 01, 2024ShareWhat is the diagnosis? What can cause this problem?Leave a commentClick here for diagnosis and discussionPreviousNext