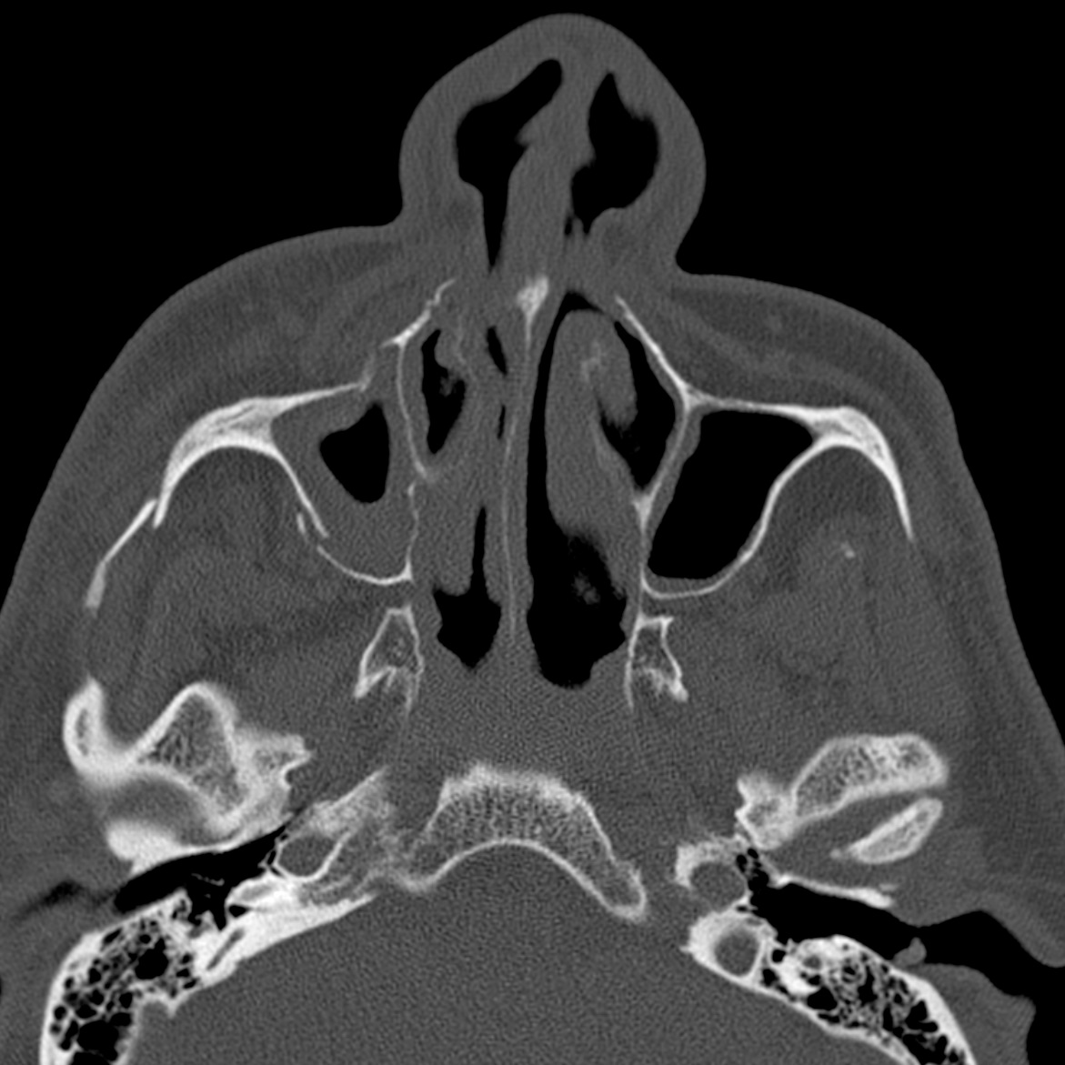
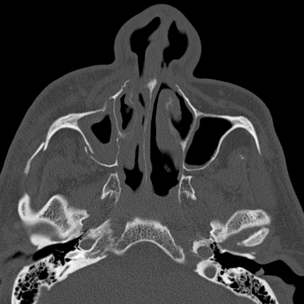
What is this facial fracture pattern?QuestionAlexander BaxterApr 03, 20231Share Click here for answer and discussionThanks for reading RadNotes! Subscribe for free to receive new posts and support my work.SubscribeShare RadNotesPreviousNext