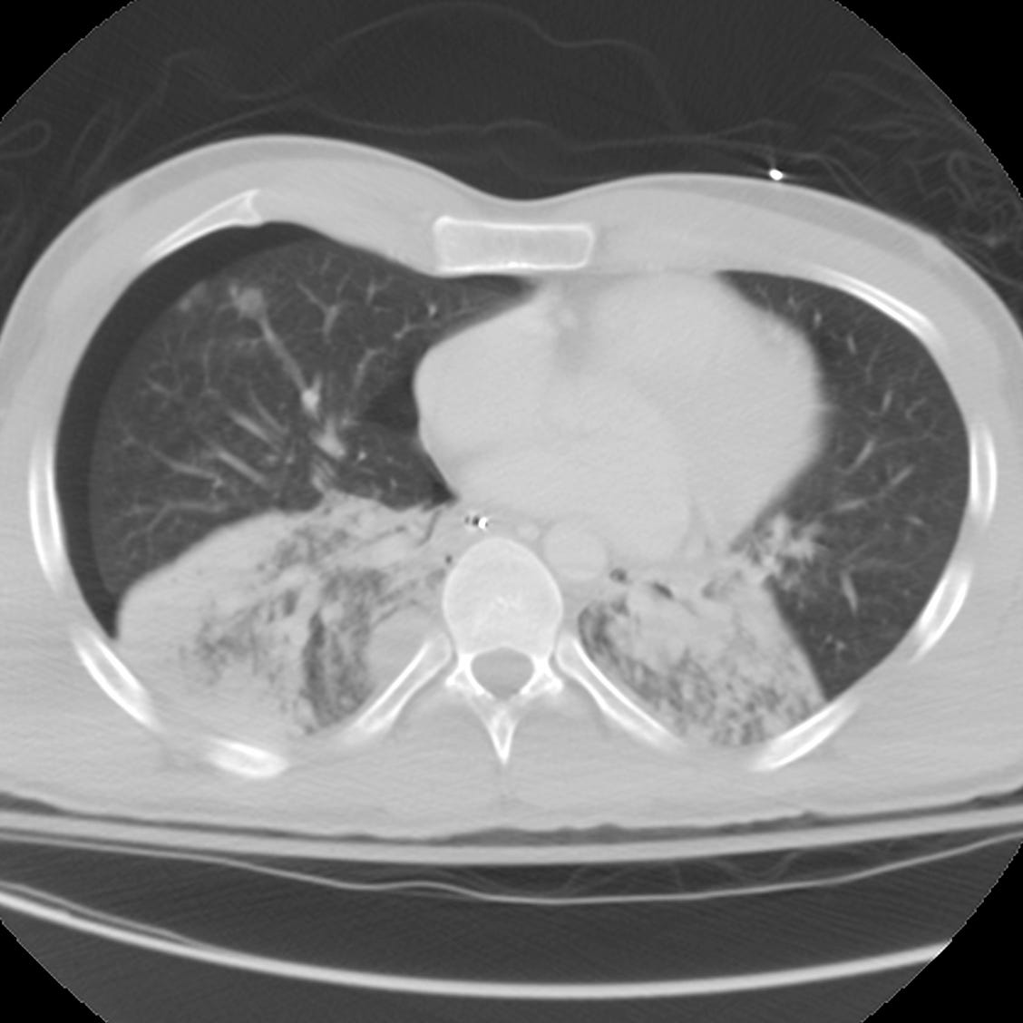
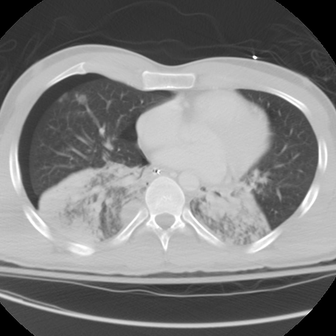
QuizWhat is the most likely etiology of these lower lobe pulmonary opacities?ChestAlexander BaxterMay 11, 20232ShareFor discussion click here.PreviousNext