Pneumonia is usually an infection of the lung parenchyma caused by bacteria, viruses, fungi, parasites or other microorganisms. Predisposing factors include compromised systemic immunity, impaired mucocilliary clearance, reduced cough (coma, drug induced respiratory depression) and accumulation of bronchial secretions (cystic fibrosis, bronchiectasis).
Symptoms include cough (with or without sputum), fever, chills, fatigue and malaise. Chest pain may be present, especially if there is pleural involvement. The elderly may present with confusion or other cognitive dysfunction. Clinically, pneumonia is classified as community acquired, hospital acquired, or ventilator dependent. On radiographs and CT, pneumonias are usually described as lobar pneumonia, bronchopneumonia, or intersitial pneumonia.
Lobar pneumonia typically shows dense opacification of a lobe or segment with little or no associated volume loss. They typically begin in the periphery and spread to adjacent alveoli via direct intra-alveolar connections (pores of Kohn and canals of Lambert). Airways appear outlined as dark tubular structures within otherwise opacified lung parenchyma (air-bronchograms). Lobar pneumonias are delimited by the pleural surfaces, which permits localization on radiographs. Common causative organisms include Streptococcus pneumoniae, Haemophilus influenzae, and Klebsiella pneumoniae.


Lobar pneumonia. Dense homogeneous consolidation of the right middle lobe lateral segment and portions of the medial segment.
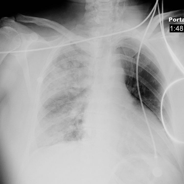
Bronchopneumonia involves the airspaces of the lung in patches around the bronchi or bronchioles. This pattern is associated with Staphylococcus aureus, Streptococcus pneumoniae, Pseudomonas, tuberculosis, and Enterobacter. On CT, tiny soft tissue density nodules can be seen at the ends of bronchioles and create the appearance of a budding tree.
In bronchopneumonia due to post primary tuberculosis, the nidus of primary infection, usually in the apex, ruptures into a bronchus and spreads through the tracheobronchial tree to other regions of the lung. Resulting parenchymal destruction and residual scarring may result in cavity formation.
Many different organisms can produce radiographic findings of bronchopneumonia, and sputum and blood cultures may be necessary for precise diagnosis and management. Empiric treatment is directed by clinical parameters such as severity of illness, immunologic status, and whether the infection was community-acquired, hospital-acquired, or in a ventilated patient.


Bronchopneumonia. Heterogeneous airspace opacity predominantly involving the left lower lobe. The lingula is not involved, as the left heart border is sharply visible on the frontal radiograph.
Acute interstitial pneumonia is an idiopathic disease characterized by fever, and shortness of breath that progresses rapidly to hypoxia and respiratory distress/failure. It is due to severe diffuse alveolar damage from activation of the inflammatory cascade acutely, with later fibrotic changes. Acute interstitial pneumonia is indistinguishable from ARDS on imaging studies and demonstrates bilateral airspace consolidation and ground glass opacities. Cardiogenic pulmonary edema can have a similar appearance and should be excluded.
Aspiration pneumonia is the consequence of a direct chemical insult to the lung parenchyma by an aspirated solid or liquid material. The clinical presentation depends on the chronicity as well as the volume and pH of the aspirated contents. Several populations at risk include alcoholics, those undergoing general anesthesia, prolonged hospitalization, and mechanical ventilation. Aspiration pneumonia preferentially involves the posterior segments of the upper lobes and superior segments of the lower lobes, which are dependent regions, particularly in the supine patient.


Aspiration pneumonia in two different patients. Right upper and lower lobe consolidation (left image). Bilateral upper lobe/superior segment lower lobe heterogeneous consolidation (right image).
Pneumonia may be indistinguishable from, or superimposed upon many other conditions that result in lung opacity. These include pulmonary edema, pulmonary hemorrhage, lung contusion (in the setting of trauma), metastatic neoplasm and chemical pneumonitis.


I enjoyed pneumonia and would recommend it all of my friends.