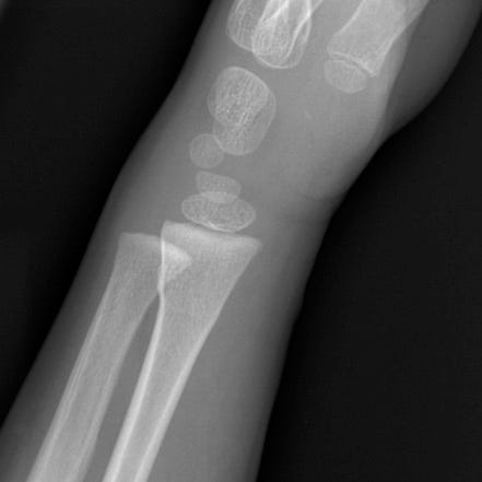
Forearm buckle or torus fractures are common in children and are usually due to falling on an outstretched arm. Force transmitted along the extremity axis results in compression of trabecular bone and bulging of the adjacent cortex without a distinct fracture line. Subtle cortical buckling or angulation may be the only radiographic finding. Common symptoms are pain, tenderness, swelling, and inability to rotate the forearm.


Buckle (torus) fracture. Mild cortical buckling along the dorso-radial aspect of the radial metaphysis. No displacement or angulation.
While radiographs are typically obtained, ultrasound can also be used for diagnosis. Treatment consists of immobilization and prompt orthopedic follow-up. These fractures have a good prognosis, and com- plications are rare.
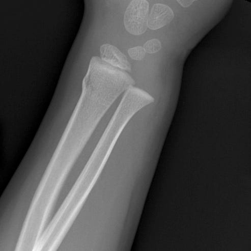
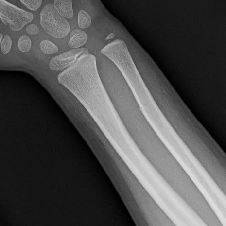
Greenstick fractures are incomplete fractures of long bones of children that result from forces perpendicular to the axis of the bone. Young children have more compliant long bones that have a greater tendency to bow and bend under stress rather than fracture. Greenstick fractures consist of a complete fracture or cortical disruption of the bone opposite the impacted side while the ipsilateral cortex remains intact. Treatment consists of closed reduction and immobilization.


Greenstick fracture. Distal radial and ulnar bowing with dorsal angulation of the distal radial fragment and incomplete disruption of the cortices.


Subtle greenstick fracture. The distal ulnar diaphysis is bowed toward the radius with subtle disruption of the radial aspect of the distal ulnar cortex.