Congenital diaphragmatic hernia (CDH) is a consequence of incomplete diaphragmatic fusion. Abdominal viscera herniate into the fetal thorax and prevent normal pulmonary development. Because of this, the clinical consequence of CDH is pulmonary hypoplasia and pulmonary hypertension. The affected hemithorax may contain a combination of stomach, intestine, liver, and spleen. CDH may occur in isolation or may be associated with chromosomal abnormalities.
Bochdalek hernias are the most common variety of CDH and are almost exclusively seen on the left side, and result from posterolateral defects in the developing pleuroperitoneal folds. This hernia often presents in the neonatal period or the first year of life and is associated with a poorer outcome. Morgagni hernias are less common, present later, and are located anteriorly and often on the right side. Small, fat-containing Bochdalek and Morgagni hernias are often found incidentally in adults.
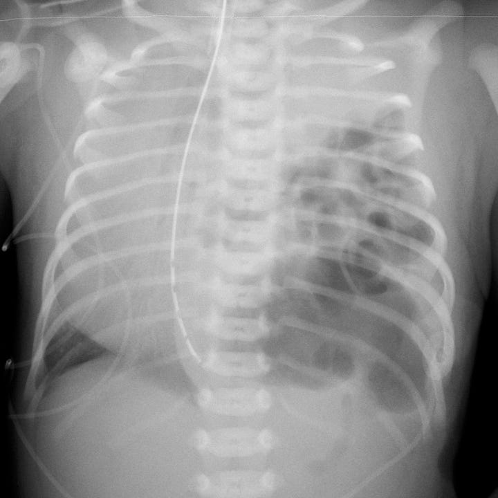
CDH is often diagnosed by prenatal ultrasound and is sometimes surgically repaired in utero. It may not be detected until after a child is born, and in that case CDH is a surgical emergency. If the defect is large enough, neonates may develop respiratory distress and cyanosis in the first hours of life. Clinical findings include decreased breath sounds and intrathoracic bowel sounds on the affected side. Plain radiographs show intrathoracic bowel or viscera with contralateral mediastinal shift and compressive atelectasis or hypoplasia of the ipsilateral lung. A gasless abdomen may be seen if most bowel loops have herniated into the hemithorax. Ultrasound confirms the clinical radiographic diagnosis and can identify any herniated solid organs.


Congenital diaphragmatic hernia in two newborns. Air-filled bowel fills the inferior aspect of the left hemithoraces, with rightward mediastinal shift and compression of airless, hypoplastic left lungs.
An antenatal diagnosis of CDH mandates delivery in a tertiary care hospital with access to neonatologists, pediatric surgeons, and extracorporeal membrane oxygenation (ECMO). Poorer prognosis is associated with larger diaphragmatic hernias, early gestational age at diagnosis, intrathoracic liver, and contralateral lung hypoplasia.

