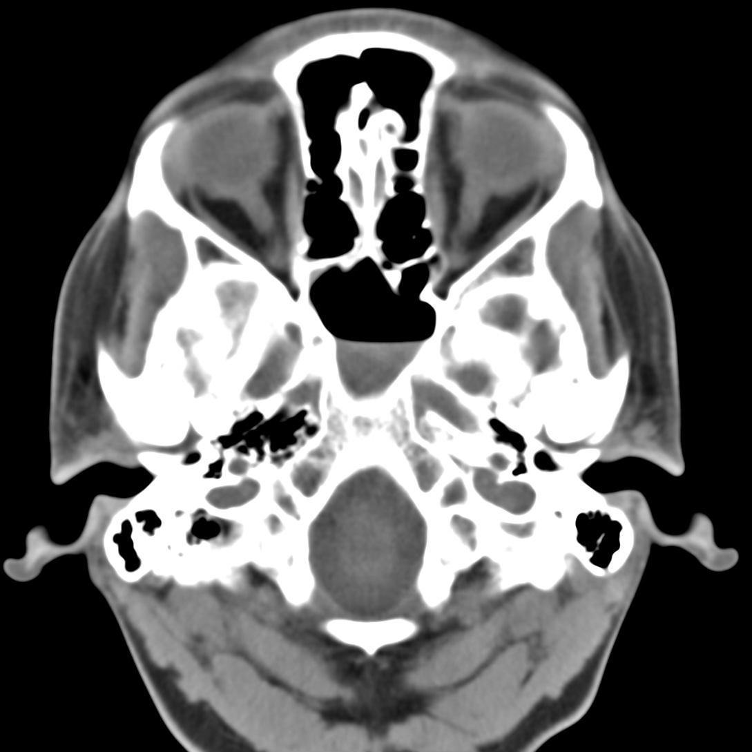
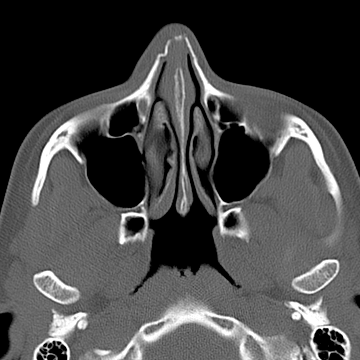
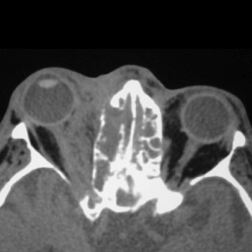
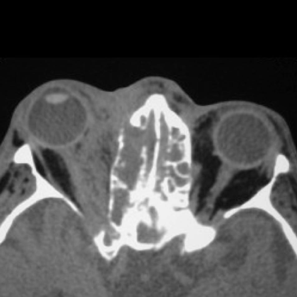
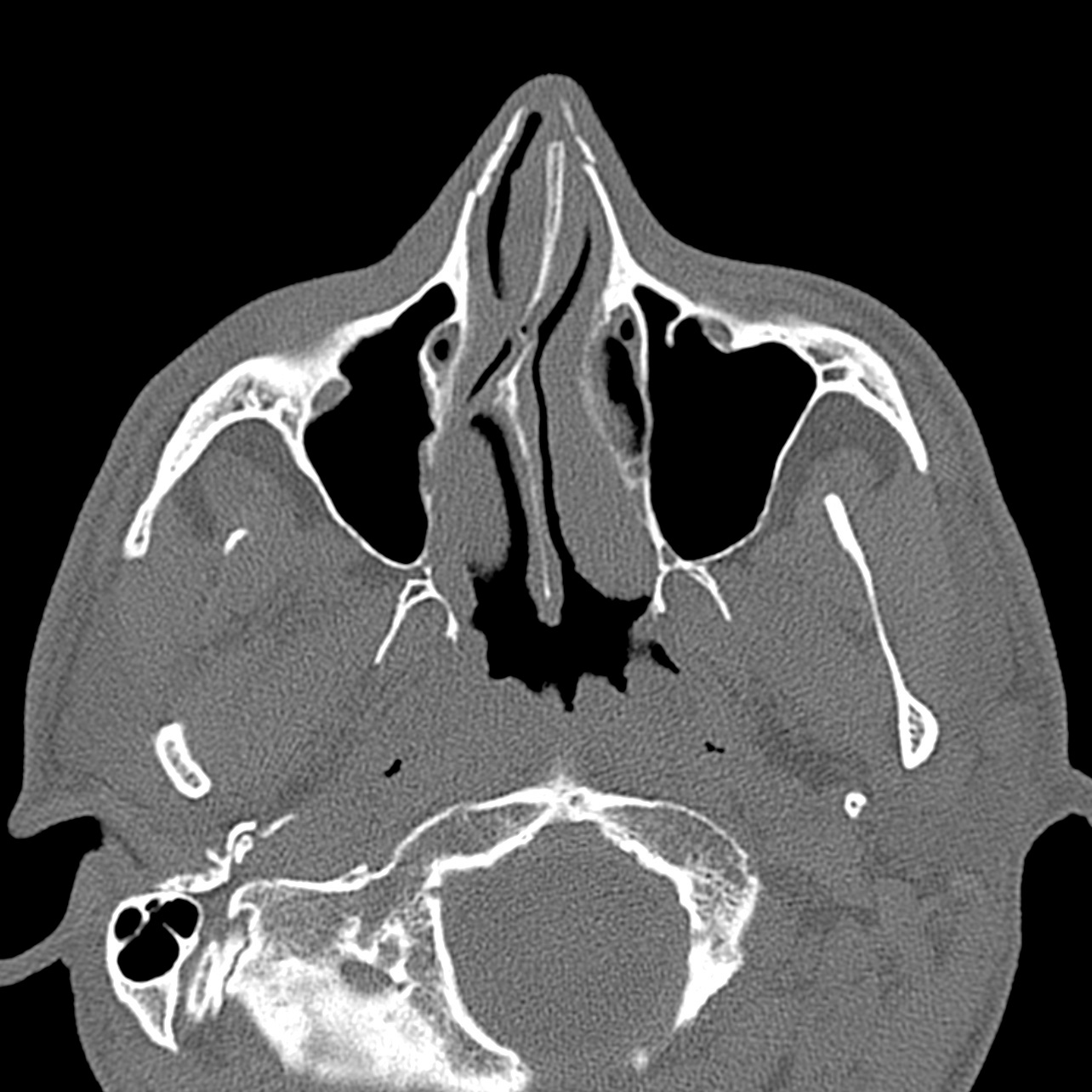
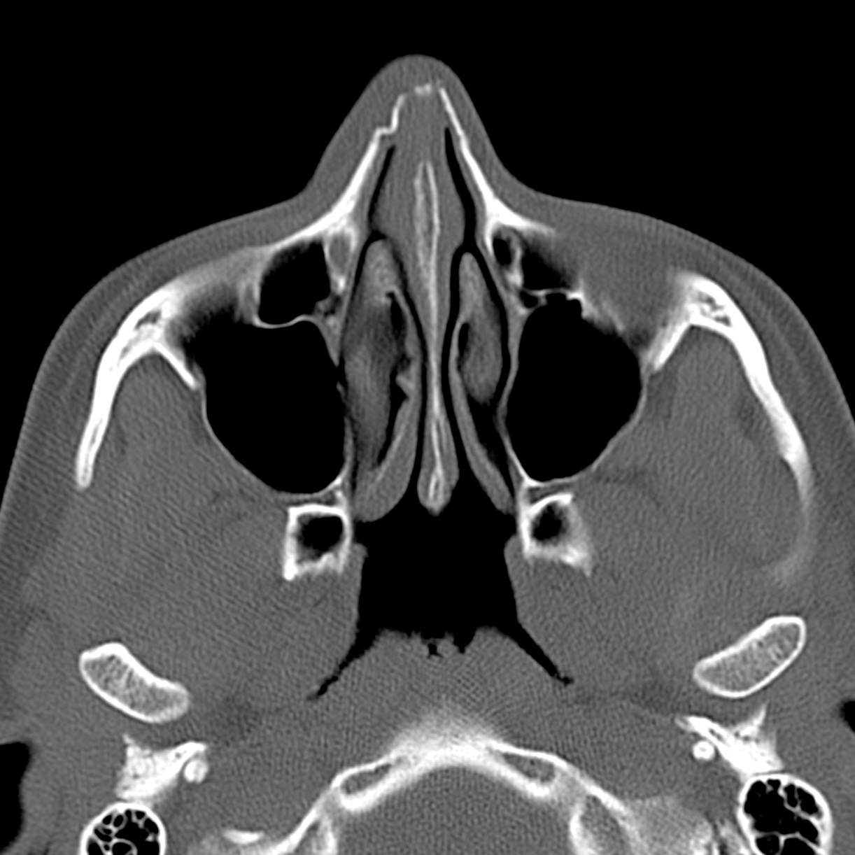
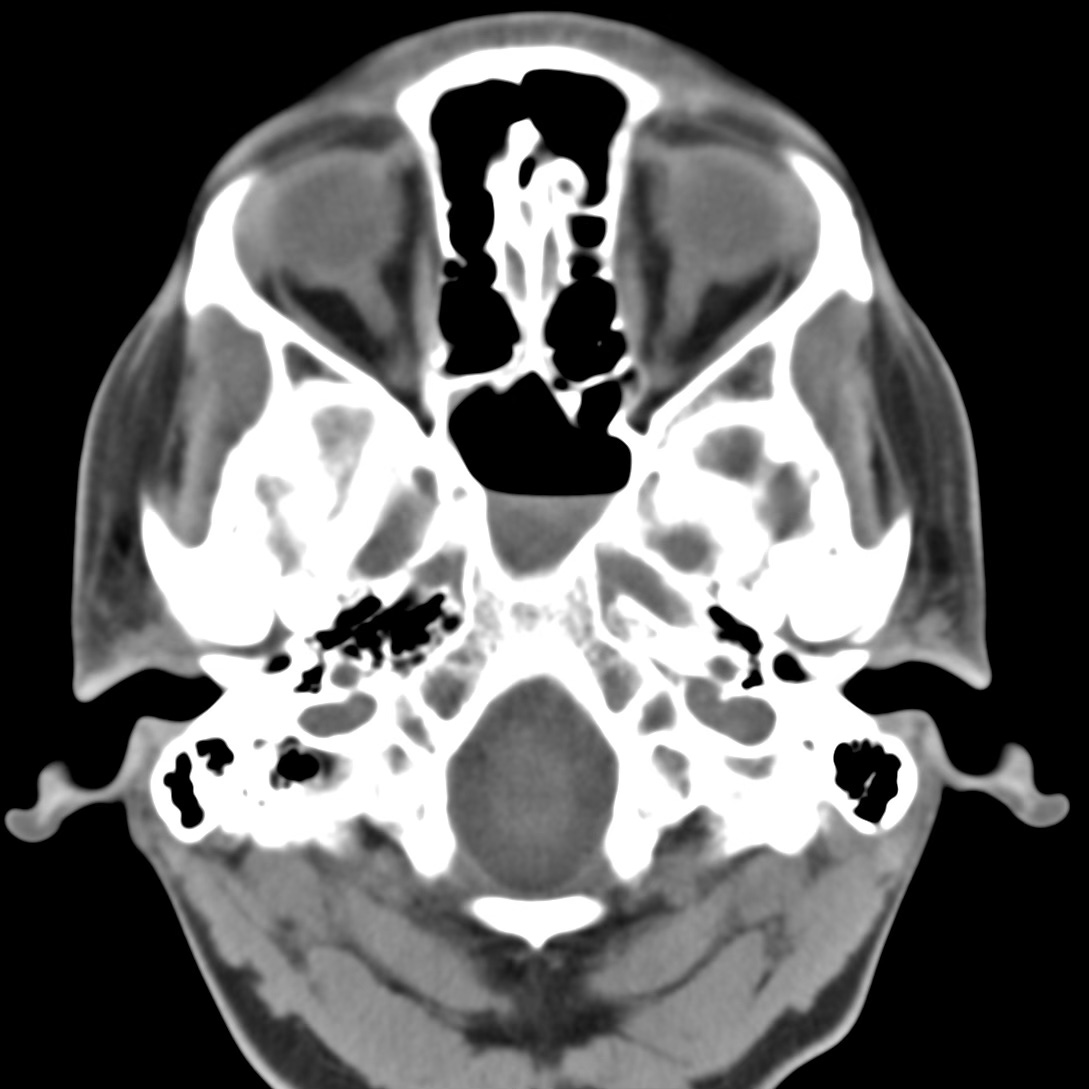
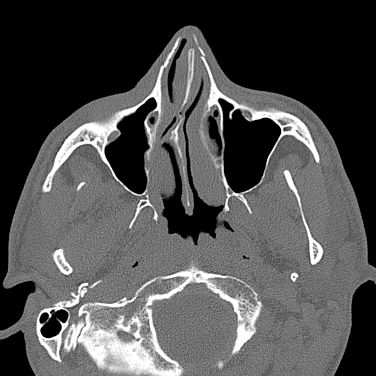
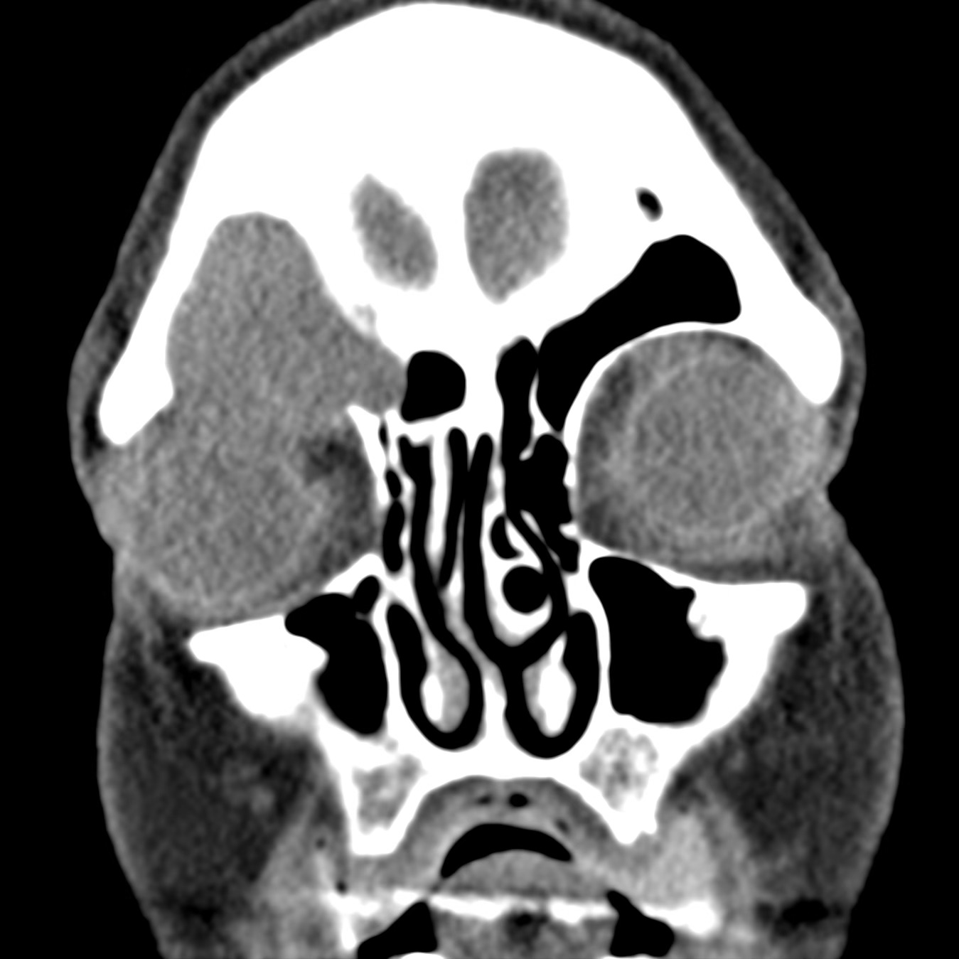
<?xml version="1.0" encoding="UTF-8"?><rss xmlns:dc="http://purl.org/dc/elements/1.1/" xmlns:content="http://purl.org/rss/1.0/modules/content/" xmlns:atom="http://www.w3.org/2005/Atom" version="2.0" xmlns:itunes="http://www.itunes.com/dtds/podcast-1.0.dtd" xmlns:googleplay="http://www.google.com/schemas/play-podcasts/1.0"><channel><title><![CDATA[RadNotes: Head and Neck]]></title><description><![CDATA[Head and neck topics]]></description><link>https://radnotes.substack.com/s/head-and-neck</link><image><url>https://substackcdn.com/image/fetch/$s_!c1Ys!,w_256,c_limit,f_auto,q_auto:good,fl_progressive:steep/https%3A%2F%2Fsubstack-post-media.s3.amazonaws.com%2Fpublic%2Fimages%2Fe9712df5-d06c-4ad6-a623-d0b18c0a99a6_748x748.png</url><title>RadNotes: Head and Neck</title><link>https://radnotes.substack.com/s/head-and-neck</link></image><generator>Substack</generator><lastBuildDate>Fri, 01 May 2026 17:50:09 GMT</lastBuildDate><atom:link href="https://radnotes.substack.com/feed" rel="self" type="application/rss+xml"/><copyright><![CDATA[Alexander Baxter]]></copyright><language><![CDATA[en]]></language><webMaster><![CDATA[radnotes@substack.com]]></webMaster><itunes:owner><itunes:email><![CDATA[radnotes@substack.com]]></itunes:email><itunes:name><![CDATA[Alexander Baxter]]></itunes:name></itunes:owner><itunes:author><![CDATA[Alexander Baxter]]></itunes:author><googleplay:owner><![CDATA[radnotes@substack.com]]></googleplay:owner><googleplay:email><![CDATA[radnotes@substack.com]]></googleplay:email><googleplay:author><![CDATA[Alexander Baxter]]></googleplay:author><itunes:block><![CDATA[Yes]]></itunes:block><item><title><![CDATA[Epiglottitis and croup]]></title><description><![CDATA[Head and Neck]]></description><link>https://radnotes.substack.com/p/epiglottitis-and-croup</link><guid isPermaLink="false">https://radnotes.substack.com/p/epiglottitis-and-croup</guid><dc:creator><![CDATA[Alexander Baxter]]></dc:creator><pubDate>Sun, 01 Mar 2026 11:00:41 GMT</pubDate><enclosure url="https://substackcdn.com/image/fetch/$s_!UV59!,f_auto,q_auto:good,fl_progressive:steep/https%3A%2F%2Fsubstack-post-media.s3.amazonaws.com%2Fpublic%2Fimages%2Fbb6cf725-4620-4582-9c51-6b309419cca6_949x949.jpeg" length="0" type="image/jpeg"/><content:encoded><![CDATA[<p><strong>Epiglottitis</strong>, acute inflammation of the epiglottis and aryepiglottic folds, can lead to life-threatening airway obstruction. In the past, it was most often the result of acute bacterial infection caused by Haemophilus influenzae. Since the advent of widespread pediatric vaccination, its incidence in children has decreased fivefold, and Staphylococcus or Streptococcus are the most common etiologies. Still more frequently seen in children than adults, patients are usually between 3 and 6 years old and typically present with dysphagia, stridor, drooling, and high fever.</p><p>Portable radiographs are usually diagnostic and should be obtained with as little manipulation of the neck as possible. The lateral view will show thickening of the epiglottis and aryepiglottic folds (&#8220;thumb sign&#8221;) and variable distention of the hypo pharynx. On AP radiographs, the vocal cords and subglottic airway may appear narrowed in severe inflammation but are often normal. Given the potential for acute airway compromise, treatment should be instituted as soon as possible. If there is clinical decompensation, intubation or emergent cricothyrotomy may be necessary to maintain an open airway.</p><div class="image-gallery-embed" data-attrs="{&quot;gallery&quot;:{&quot;images&quot;:[{&quot;type&quot;:&quot;image/jpeg&quot;,&quot;src&quot;:&quot;https://substack-post-media.s3.amazonaws.com/public/images/bb6cf725-4620-4582-9c51-6b309419cca6_949x949.jpeg&quot;},{&quot;type&quot;:&quot;image/jpeg&quot;,&quot;src&quot;:&quot;https://substack-post-media.s3.amazonaws.com/public/images/c1a45c81-8ec1-4c5a-ae17-57bb7618c6a3_1206x1206.jpeg&quot;}],&quot;caption&quot;:&quot;&quot;,&quot;alt&quot;:&quot;&quot;,&quot;staticGalleryImage&quot;:{&quot;type&quot;:&quot;image/png&quot;,&quot;src&quot;:&quot;https://substack-post-media.s3.amazonaws.com/public/images/c67bb496-38c8-49af-8351-5624d265cacd_1456x720.png&quot;}},&quot;isEditorNode&quot;:true}"></div><p><strong>Epiglottitis. </strong>The lateral radiograph shows pharyngeal distention, markedly thickened epiglottis and thickened aryepiglottic folds. No prevertebral soft tissue swelling. CT in a different patient demonstrates edema of the right epiglottis and aryepiglottic fold.</p><div><hr></div><p><strong>Croup</strong>, or laryngotracheobronchitis, is an acute upper airway infection also seen in younger children (6 months to 6 years) who typically present with barking cough, stridor, and hoarseness. It is more common in males and in the autumn. Since the advent of immunization against diphtheria, most cases are viral (parainfluenza, influenza, respiratory syncytial virus, adenovirus, and measles), although bacterial superinfection is possible. Epiglottitis, aspirated foreign body, and retropharyngeal abscess can have similar clinical presentations, and these conditions should be considered and excluded. The diagnosis is clinical, but neck radiographs are often obtained to exclude epiglottitis or prevertebral edema and in croup will often demonstrate the &#8220;steeple sign&#8221; due to subglottic edema and narrowing. Croup is managed medically; corticosteroids and nebulized epinephrine provide rapid symptomatic relief.</p><div class="image-gallery-embed" data-attrs="{&quot;gallery&quot;:{&quot;images&quot;:[{&quot;type&quot;:&quot;image/jpeg&quot;,&quot;src&quot;:&quot;https://substack-post-media.s3.amazonaws.com/public/images/bd2642ad-d2b1-4b26-bfe7-b3dfdb2be485_1091x1091.jpeg&quot;},{&quot;type&quot;:&quot;image/jpeg&quot;,&quot;src&quot;:&quot;https://substack-post-media.s3.amazonaws.com/public/images/6ea9d5d2-6de2-4bff-b859-67353cdd36d3_1011x1011.jpeg&quot;}],&quot;caption&quot;:&quot;&quot;,&quot;alt&quot;:&quot;&quot;,&quot;staticGalleryImage&quot;:{&quot;type&quot;:&quot;image/png&quot;,&quot;src&quot;:&quot;https://substack-post-media.s3.amazonaws.com/public/images/3faaab90-07a4-46bb-abd3-bcf99866f49b_1456x720.png&quot;}},&quot;isEditorNode&quot;:true}"></div><p><strong>Croup.</strong> Narrowed subglottic tracheal air column on frontal view. No retropharyngeal or epiglottic swelling</p>]]></content:encoded></item><item><title><![CDATA[Juvenile nasopharyngeal angiofibroma]]></title><description><![CDATA[Head and Neck]]></description><link>https://radnotes.substack.com/p/juvenile-nasopharyngeal-angiofibroma</link><guid isPermaLink="false">https://radnotes.substack.com/p/juvenile-nasopharyngeal-angiofibroma</guid><dc:creator><![CDATA[Alexander Baxter]]></dc:creator><pubDate>Thu, 17 Apr 2025 13:23:48 GMT</pubDate><enclosure url="https://substackcdn.com/image/fetch/$s_!2zuL!,f_auto,q_auto:good,fl_progressive:steep/https%3A%2F%2Fsubstack-post-media.s3.amazonaws.com%2Fpublic%2Fimages%2Fc2ff6da1-7aa5-4c59-b659-73d8a59d63b9_1381x1381.jpeg" length="0" type="image/jpeg"/><content:encoded><![CDATA[<p>Juvenile nasopharyngeal angiofibroma (JNA) is a benign, highly vascular tumor seen  in prepubertal and adolescent males. This may reflect the fact that the cells of JNAs express androgen receptors. These tumors arise from the walls of the pterygopalatine fossa and are locally invasive; extension into the maxillary and ethmoid sinuses is common, and intracranial involvement can be seen.</p><p>Patients present with nasal obstruction, epistaxis, facial deformity, anosmia, and headache. Examination reveals a pale, reddish-blue mass in the posterior nasal cavity.</p><p>CT demonstrates a lobulated, enhancing, soft tissue mass centered at the sphenopalatine foramen, causing local bony remodeling rather than permeation. MRI shows a characteristic salt-and-pepper appearance of intratumoral vascular flow voids. Arterial supply is almost exclusively from the ipsilateral internal maxillary or ascending pharyngeal arteries. Treatment is embolization followed by definitive resection or radiation therapy if resection is not possible.</p><div class="image-gallery-embed" data-attrs="{&quot;gallery&quot;:{&quot;images&quot;:[{&quot;type&quot;:&quot;image/jpeg&quot;,&quot;src&quot;:&quot;https://substack-post-media.s3.amazonaws.com/public/images/c2ff6da1-7aa5-4c59-b659-73d8a59d63b9_1381x1381.jpeg&quot;},{&quot;type&quot;:&quot;image/jpeg&quot;,&quot;src&quot;:&quot;https://substack-post-media.s3.amazonaws.com/public/images/664d053e-b05a-4929-9218-a6fc759842e5_1348x1348.jpeg&quot;}],&quot;caption&quot;:&quot;&quot;,&quot;alt&quot;:&quot;&quot;,&quot;staticGalleryImage&quot;:{&quot;type&quot;:&quot;image/png&quot;,&quot;src&quot;:&quot;https://substack-post-media.s3.amazonaws.com/public/images/d74bcc01-1375-4262-988a-826c9b3f7e1f_1456x720.png&quot;}},&quot;isEditorNode&quot;:true}"></div><div class="image-gallery-embed" data-attrs="{&quot;gallery&quot;:{&quot;images&quot;:[{&quot;type&quot;:&quot;image/jpeg&quot;,&quot;src&quot;:&quot;https://substack-post-media.s3.amazonaws.com/public/images/13998ab5-7bd3-4f15-ac8d-70668e147896_1331x1331.jpeg&quot;},{&quot;type&quot;:&quot;image/jpeg&quot;,&quot;src&quot;:&quot;https://substack-post-media.s3.amazonaws.com/public/images/3be4f2da-c24a-4365-821b-ca6398bdc541_1365x1365.jpeg&quot;}],&quot;caption&quot;:&quot;&quot;,&quot;alt&quot;:&quot;&quot;,&quot;staticGalleryImage&quot;:{&quot;type&quot;:&quot;image/png&quot;,&quot;src&quot;:&quot;https://substack-post-media.s3.amazonaws.com/public/images/4469d70b-2a5a-4a30-bb08-14ce3e6a3500_1456x720.png&quot;}},&quot;isEditorNode&quot;:true}"></div><p><strong>Juvenile nasopharyngeal angiofibroma</strong>. The posterior left nasal cavity is filled by an expansile soft tissue density mass centered at the left sphenopalatine foramen with extension into both sides of the posterior nasal cavity. MRI, which shows the salt-and-pepper appearance of vascular flow voids, and external carotid artery angiogram confirm the highly vascular nature of the mass and its  supply via an enlarged internal maxillary branch of the left external carotid artery.</p>]]></content:encoded></item><item><title><![CDATA[Nasopharyngeal carcinoma]]></title><description><![CDATA[Head and Neck]]></description><link>https://radnotes.substack.com/p/nasopharyngeal-carcinoma</link><guid isPermaLink="false">https://radnotes.substack.com/p/nasopharyngeal-carcinoma</guid><dc:creator><![CDATA[Alexander Baxter]]></dc:creator><pubDate>Tue, 15 Apr 2025 12:47:28 GMT</pubDate><enclosure url="https://substackcdn.com/image/fetch/$s_!UtJz!,f_auto,q_auto:good,fl_progressive:steep/https%3A%2F%2Fsubstack-post-media.s3.amazonaws.com%2Fpublic%2Fimages%2F6047ae6c-773d-4611-9661-02a2a735a7f9.tif" length="0" type="image/jpeg"/><content:encoded><![CDATA[<p>Nasopharyngeal carcinoma is the most common malignancy of the nasopharynx. It is a squamous cell carcinoma of multifactorial etiology including Epstein-Barr virus (EBV) infection, smoking, genetic predisposition and diet. It is rare in western Europe and the United states but endemic in Asia, especially southern China. The peak incidence is in the sixth decade with men more commonly affected than women.</p><p>The primary tumor is usually located in the fossa of Rosenm&#252;ller, near the orifice of the eustachian tube. By compromising middle ear drainage, nasopharyngeal carcinomas can present with otitis media and conductive hearing loss. Skull base invasion may result in CNII-VI neuropathy. Cervical adenopathy is frequently seen at time of diagnosis and is due to local metastatic disease.</p><div class="image-gallery-embed" data-attrs="{&quot;gallery&quot;:{&quot;images&quot;:[{&quot;type&quot;:&quot;image/tiff&quot;,&quot;src&quot;:&quot;https://substack-post-media.s3.amazonaws.com/public/images/6047ae6c-773d-4611-9661-02a2a735a7f9.tif&quot;},{&quot;type&quot;:&quot;image/tiff&quot;,&quot;src&quot;:&quot;https://substack-post-media.s3.amazonaws.com/public/images/3e97033a-d965-4497-a2be-0c9c205b52b3.tif&quot;}],&quot;caption&quot;:&quot;&quot;,&quot;alt&quot;:&quot;&quot;,&quot;staticGalleryImage&quot;:{&quot;type&quot;:&quot;image/png&quot;,&quot;src&quot;:&quot;https://substack-post-media.s3.amazonaws.com/public/images/090e68b9-506c-4048-8664-b9b9866134b7_1456x720.png&quot;}},&quot;isEditorNode&quot;:true}"></div><p><strong>Nasopharyngeal carcinoma.</strong> A right sided soft tissue mass has eroded the petrous apex, right lateral clivus, and right lateral sphenoid sinus. Coronal postgadolinium T1-weighted image shows the large, enhancing right nasopharyngeal mass invading the clivus and right cavernous sinus and encasing the right cavernous internal carotid artery.</p><div><hr></div><p>Presenting findings include serious otitis media/middle ear effusion, nasal obstruction, epistaxis, or cranial nerve dysfunction. Nasopharyngeal carcinoma should be considered in any adult who presents with a first episode of otitis media.</p><p>CT and MR imaging characterize the primary mass and local nodal metastases, which are present in more than half of patients at diagnosis. Tumor can extend to invade the skull base and cranium via the eustachian tube, clivus, or neuroforamina. Distant metastases are usually found in the bone, liver and lung.</p><p>Primary treatment is external-beam radiation therapy, which may be supplemented with chemotherapy.</p><p></p><p><br></p>]]></content:encoded></item><item><title><![CDATA[Inflammatory sinus disease]]></title><description><![CDATA[Head and neck]]></description><link>https://radnotes.substack.com/p/inflammatory-sinus-disease</link><guid isPermaLink="false">https://radnotes.substack.com/p/inflammatory-sinus-disease</guid><dc:creator><![CDATA[Alexander Baxter]]></dc:creator><pubDate>Thu, 21 Mar 2024 14:13:14 GMT</pubDate><enclosure url="https://substackcdn.com/image/fetch/$s_!TuLG!,f_auto,q_auto:good,fl_progressive:steep/https%3A%2F%2Fsubstack-post-media.s3.amazonaws.com%2Fpublic%2Fimages%2F4db840ac-9a76-4e13-b386-cf8fb435c7ce.heic" length="0" type="image/jpeg"/><content:encoded><![CDATA[<p><strong>Acute sinusitis</strong>, inflammation of the paranasal sinus mucosa, may be allergic or can be due to viral, bacterial, or fungal infection. The diagnosis is based upon the entirely clinical findings of facial pain and tenderness, postnasal discharge, congestion, and anosmia. Imaging is not indicated for acute sinusitis but may be obtained to evaluate an atypical headache or to diagnose the uncommon complications of untreated or inadequately treated sinusitis which include facial or orbital cellulitis, cavernous sinus thrombosis, subdural or epidural empyema or cerebritis/brain abscess. If a CT is obtained, acute uncomplicated sinusitis usually appears as fluid within a sinus.</p><p><strong>Invasive sinusitis</strong> is associated with bone erosion and inflammatory disease that extends into the adjacent facial soft tissues. Invasive fungal sinusitis, the most common variety, is a disease of immunocompromised patients, most commonly diabetics, neutropenic patients on chemo- therapy, or patients with advanced AIDS. Clinical findings vary but include fever, facial pain, epistaxis, and nasal congestion. Infection that extends from the sinus into the orbit can lead to visual deterioration, proptosis, diplopia, and pain. Cranial nerve III&#8211;VI dysfunction indicates cavernous sinus involvement.</p><p>On noncontrast CT, the involved sinuses are usually opacified, with hyperostotic or thinned walls, permeative bone changes, and intraorbital or deep facial fat stranding. Intracranial complications include epidural empyema, meningitis, cerebritis, vasculitis, mycotic aneurysm, and vascular thrombosis. Systemic antifungal therapy and surgical debridement are often necessary for successful management.</p><div class="captioned-image-container"><figure><a class="image-link image2 is-viewable-img" target="_blank" href="https://substackcdn.com/image/fetch/$s_!TuLG!,f_auto,q_auto:good,fl_progressive:steep/https%3A%2F%2Fsubstack-post-media.s3.amazonaws.com%2Fpublic%2Fimages%2F4db840ac-9a76-4e13-b386-cf8fb435c7ce.heic" data-component-name="Image2ToDOM"><div class="image2-inset"><picture><source type="image/webp" srcset="https://substackcdn.com/image/fetch/$s_!TuLG!,w_424,c_limit,f_webp,q_auto:good,fl_progressive:steep/https%3A%2F%2Fsubstack-post-media.s3.amazonaws.com%2Fpublic%2Fimages%2F4db840ac-9a76-4e13-b386-cf8fb435c7ce.heic 424w, https://substackcdn.com/image/fetch/$s_!TuLG!,w_848,c_limit,f_webp,q_auto:good,fl_progressive:steep/https%3A%2F%2Fsubstack-post-media.s3.amazonaws.com%2Fpublic%2Fimages%2F4db840ac-9a76-4e13-b386-cf8fb435c7ce.heic 848w, https://substackcdn.com/image/fetch/$s_!TuLG!,w_1272,c_limit,f_webp,q_auto:good,fl_progressive:steep/https%3A%2F%2Fsubstack-post-media.s3.amazonaws.com%2Fpublic%2Fimages%2F4db840ac-9a76-4e13-b386-cf8fb435c7ce.heic 1272w, https://substackcdn.com/image/fetch/$s_!TuLG!,w_1456,c_limit,f_webp,q_auto:good,fl_progressive:steep/https%3A%2F%2Fsubstack-post-media.s3.amazonaws.com%2Fpublic%2Fimages%2F4db840ac-9a76-4e13-b386-cf8fb435c7ce.heic 1456w" sizes="100vw"><img src="https://substackcdn.com/image/fetch/$s_!TuLG!,w_1456,c_limit,f_auto,q_auto:good,fl_progressive:steep/https%3A%2F%2Fsubstack-post-media.s3.amazonaws.com%2Fpublic%2Fimages%2F4db840ac-9a76-4e13-b386-cf8fb435c7ce.heic" width="1089" height="1089" data-attrs="{&quot;src&quot;:&quot;https://substack-post-media.s3.amazonaws.com/public/images/4db840ac-9a76-4e13-b386-cf8fb435c7ce.heic&quot;,&quot;srcNoWatermark&quot;:null,&quot;fullscreen&quot;:null,&quot;imageSize&quot;:null,&quot;height&quot;:1089,&quot;width&quot;:1089,&quot;resizeWidth&quot;:null,&quot;bytes&quot;:49150,&quot;alt&quot;:null,&quot;title&quot;:null,&quot;type&quot;:&quot;image/heic&quot;,&quot;href&quot;:null,&quot;belowTheFold&quot;:false,&quot;topImage&quot;:true,&quot;internalRedirect&quot;:null,&quot;isProcessing&quot;:false,&quot;align&quot;:null,&quot;offset&quot;:false}" class="sizing-normal" alt="" srcset="https://substackcdn.com/image/fetch/$s_!TuLG!,w_424,c_limit,f_auto,q_auto:good,fl_progressive:steep/https%3A%2F%2Fsubstack-post-media.s3.amazonaws.com%2Fpublic%2Fimages%2F4db840ac-9a76-4e13-b386-cf8fb435c7ce.heic 424w, https://substackcdn.com/image/fetch/$s_!TuLG!,w_848,c_limit,f_auto,q_auto:good,fl_progressive:steep/https%3A%2F%2Fsubstack-post-media.s3.amazonaws.com%2Fpublic%2Fimages%2F4db840ac-9a76-4e13-b386-cf8fb435c7ce.heic 848w, https://substackcdn.com/image/fetch/$s_!TuLG!,w_1272,c_limit,f_auto,q_auto:good,fl_progressive:steep/https%3A%2F%2Fsubstack-post-media.s3.amazonaws.com%2Fpublic%2Fimages%2F4db840ac-9a76-4e13-b386-cf8fb435c7ce.heic 1272w, https://substackcdn.com/image/fetch/$s_!TuLG!,w_1456,c_limit,f_auto,q_auto:good,fl_progressive:steep/https%3A%2F%2Fsubstack-post-media.s3.amazonaws.com%2Fpublic%2Fimages%2F4db840ac-9a76-4e13-b386-cf8fb435c7ce.heic 1456w" sizes="100vw" fetchpriority="high"></picture><div class="image-link-expand"><div class="pencraft pc-display-flex pc-gap-8 pc-reset"><button tabindex="0" type="button" class="pencraft pc-reset pencraft icon-container restack-image"><svg role="img" width="20" height="20" viewBox="0 0 20 20" fill="none" stroke-width="1.5" stroke="var(--color-fg-primary)" stroke-linecap="round" stroke-linejoin="round" xmlns="http://www.w3.org/2000/svg"><g><title></title><path d="M2.53001 7.81595C3.49179 4.73911 6.43281 2.5 9.91173 2.5C13.1684 2.5 15.9537 4.46214 17.0852 7.23684L17.6179 8.67647M17.6179 8.67647L18.5002 4.26471M17.6179 8.67647L13.6473 6.91176M17.4995 12.1841C16.5378 15.2609 13.5967 17.5 10.1178 17.5C6.86118 17.5 4.07589 15.5379 2.94432 12.7632L2.41165 11.3235M2.41165 11.3235L1.5293 15.7353M2.41165 11.3235L6.38224 13.0882"></path></g></svg></button><button tabindex="0" type="button" class="pencraft pc-reset pencraft icon-container view-image"><svg xmlns="http://www.w3.org/2000/svg" width="20" height="20" viewBox="0 0 24 24" fill="none" stroke="currentColor" stroke-width="2" stroke-linecap="round" stroke-linejoin="round" class="lucide lucide-maximize2 lucide-maximize-2"><polyline points="15 3 21 3 21 9"></polyline><polyline points="9 21 3 21 3 15"></polyline><line x1="21" x2="14" y1="3" y2="10"></line><line x1="3" x2="10" y1="21" y2="14"></line></svg></button></div></div></div></a></figure></div><p><strong>Acute sinusitis.</strong> Low-attenuation fluid within the sphenoid sinus. No associated hyperostosis.</p><div class="image-gallery-embed" data-attrs="{&quot;gallery&quot;:{&quot;images&quot;:[{&quot;type&quot;:&quot;image/jpeg&quot;,&quot;src&quot;:&quot;https://substack-post-media.s3.amazonaws.com/public/images/a58593b8-a29d-43ac-93e0-5ac348308a9f_1000x1000.jpeg&quot;}],&quot;caption&quot;:&quot;&quot;,&quot;alt&quot;:&quot;&quot;,&quot;staticGalleryImage&quot;:{&quot;type&quot;:&quot;image/jpeg&quot;,&quot;src&quot;:&quot;https://substack-post-media.s3.amazonaws.com/public/images/a58593b8-a29d-43ac-93e0-5ac348308a9f_1000x1000.jpeg&quot;}},&quot;isEditorNode&quot;:true}"></div><p><strong>Invasive aspergillosis.</strong> The left maxillary sinus is opacified and enhancing inflammatory tissue extends through in the orbital floor to involve the inferomedial orbit.</p><div class="captioned-image-container"><figure><a class="image-link image2 is-viewable-img" target="_blank" href="https://substackcdn.com/image/fetch/$s_!Fkyn!,f_auto,q_auto:good,fl_progressive:steep/https%3A%2F%2Fsubstack-post-media.s3.amazonaws.com%2Fpublic%2Fimages%2Fa496150c-ffdd-4ae9-bb6e-f14554717081.heic" data-component-name="Image2ToDOM"><div class="image2-inset"><picture><source type="image/webp" srcset="https://substackcdn.com/image/fetch/$s_!Fkyn!,w_424,c_limit,f_webp,q_auto:good,fl_progressive:steep/https%3A%2F%2Fsubstack-post-media.s3.amazonaws.com%2Fpublic%2Fimages%2Fa496150c-ffdd-4ae9-bb6e-f14554717081.heic 424w, https://substackcdn.com/image/fetch/$s_!Fkyn!,w_848,c_limit,f_webp,q_auto:good,fl_progressive:steep/https%3A%2F%2Fsubstack-post-media.s3.amazonaws.com%2Fpublic%2Fimages%2Fa496150c-ffdd-4ae9-bb6e-f14554717081.heic 848w, https://substackcdn.com/image/fetch/$s_!Fkyn!,w_1272,c_limit,f_webp,q_auto:good,fl_progressive:steep/https%3A%2F%2Fsubstack-post-media.s3.amazonaws.com%2Fpublic%2Fimages%2Fa496150c-ffdd-4ae9-bb6e-f14554717081.heic 1272w, https://substackcdn.com/image/fetch/$s_!Fkyn!,w_1456,c_limit,f_webp,q_auto:good,fl_progressive:steep/https%3A%2F%2Fsubstack-post-media.s3.amazonaws.com%2Fpublic%2Fimages%2Fa496150c-ffdd-4ae9-bb6e-f14554717081.heic 1456w" sizes="100vw"><img src="https://substackcdn.com/image/fetch/$s_!Fkyn!,w_1456,c_limit,f_auto,q_auto:good,fl_progressive:steep/https%3A%2F%2Fsubstack-post-media.s3.amazonaws.com%2Fpublic%2Fimages%2Fa496150c-ffdd-4ae9-bb6e-f14554717081.heic" width="953" height="953" data-attrs="{&quot;src&quot;:&quot;https://substack-post-media.s3.amazonaws.com/public/images/a496150c-ffdd-4ae9-bb6e-f14554717081.heic&quot;,&quot;srcNoWatermark&quot;:null,&quot;fullscreen&quot;:null,&quot;imageSize&quot;:null,&quot;height&quot;:953,&quot;width&quot;:953,&quot;resizeWidth&quot;:null,&quot;bytes&quot;:38267,&quot;alt&quot;:null,&quot;title&quot;:null,&quot;type&quot;:&quot;image/heic&quot;,&quot;href&quot;:null,&quot;belowTheFold&quot;:false,&quot;topImage&quot;:false,&quot;internalRedirect&quot;:null,&quot;isProcessing&quot;:false,&quot;align&quot;:null,&quot;offset&quot;:false}" class="sizing-normal" alt="" srcset="https://substackcdn.com/image/fetch/$s_!Fkyn!,w_424,c_limit,f_auto,q_auto:good,fl_progressive:steep/https%3A%2F%2Fsubstack-post-media.s3.amazonaws.com%2Fpublic%2Fimages%2Fa496150c-ffdd-4ae9-bb6e-f14554717081.heic 424w, https://substackcdn.com/image/fetch/$s_!Fkyn!,w_848,c_limit,f_auto,q_auto:good,fl_progressive:steep/https%3A%2F%2Fsubstack-post-media.s3.amazonaws.com%2Fpublic%2Fimages%2Fa496150c-ffdd-4ae9-bb6e-f14554717081.heic 848w, https://substackcdn.com/image/fetch/$s_!Fkyn!,w_1272,c_limit,f_auto,q_auto:good,fl_progressive:steep/https%3A%2F%2Fsubstack-post-media.s3.amazonaws.com%2Fpublic%2Fimages%2Fa496150c-ffdd-4ae9-bb6e-f14554717081.heic 1272w, https://substackcdn.com/image/fetch/$s_!Fkyn!,w_1456,c_limit,f_auto,q_auto:good,fl_progressive:steep/https%3A%2F%2Fsubstack-post-media.s3.amazonaws.com%2Fpublic%2Fimages%2Fa496150c-ffdd-4ae9-bb6e-f14554717081.heic 1456w" sizes="100vw"></picture><div class="image-link-expand"><div class="pencraft pc-display-flex pc-gap-8 pc-reset"><button tabindex="0" type="button" class="pencraft pc-reset pencraft icon-container restack-image"><svg role="img" width="20" height="20" viewBox="0 0 20 20" fill="none" stroke-width="1.5" stroke="var(--color-fg-primary)" stroke-linecap="round" stroke-linejoin="round" xmlns="http://www.w3.org/2000/svg"><g><title></title><path d="M2.53001 7.81595C3.49179 4.73911 6.43281 2.5 9.91173 2.5C13.1684 2.5 15.9537 4.46214 17.0852 7.23684L17.6179 8.67647M17.6179 8.67647L18.5002 4.26471M17.6179 8.67647L13.6473 6.91176M17.4995 12.1841C16.5378 15.2609 13.5967 17.5 10.1178 17.5C6.86118 17.5 4.07589 15.5379 2.94432 12.7632L2.41165 11.3235M2.41165 11.3235L1.5293 15.7353M2.41165 11.3235L6.38224 13.0882"></path></g></svg></button><button tabindex="0" type="button" class="pencraft pc-reset pencraft icon-container view-image"><svg xmlns="http://www.w3.org/2000/svg" width="20" height="20" viewBox="0 0 24 24" fill="none" stroke="currentColor" stroke-width="2" stroke-linecap="round" stroke-linejoin="round" class="lucide lucide-maximize2 lucide-maximize-2"><polyline points="15 3 21 3 21 9"></polyline><polyline points="9 21 3 21 3 15"></polyline><line x1="21" x2="14" y1="3" y2="10"></line><line x1="3" x2="10" y1="21" y2="14"></line></svg></button></div></div></div></a></figure></div><p><strong>Mucormycosis.</strong> Right ethmoid opacification with permeation and erosion of the ethmoid walls. Inflammatory tissue extends into the medial right orbit and preseptal soft tissues. </p><div><hr></div><p><strong>Sinus mucocele</strong> results from ostial obstruction due to chronic inflammation, allergies, trauma, or underlying neoplasm. Mucous under pressure accumulates in the sinus, expands and thins the walls, and can rupture into an adjacent sinus, the orbit, or the cranium. The frontal and ethmoid sinuses are most frequently involved, but any combination of paranasal sinuses may be affected. Clinical findings include facial deformity, exophthalmos, or diplopia from encroachment upon the adjacent orbit.&nbsp; Rupture of a mucocele can lead to cellulitis and facial or intracranial abscess.</p><p>CT imaging shows an expanded, completely opacified sinus with remodeling and thinning of at least one wall</p><div class="captioned-image-container"><figure><a class="image-link image2 is-viewable-img" target="_blank" href="https://substackcdn.com/image/fetch/$s_!IVtC!,f_auto,q_auto:good,fl_progressive:steep/https%3A%2F%2Fsubstack-post-media.s3.amazonaws.com%2Fpublic%2Fimages%2F3e47fc5e-35a7-46b8-9e70-188e437e338e.heic" data-component-name="Image2ToDOM"><div class="image2-inset"><picture><source type="image/webp" srcset="https://substackcdn.com/image/fetch/$s_!IVtC!,w_424,c_limit,f_webp,q_auto:good,fl_progressive:steep/https%3A%2F%2Fsubstack-post-media.s3.amazonaws.com%2Fpublic%2Fimages%2F3e47fc5e-35a7-46b8-9e70-188e437e338e.heic 424w, https://substackcdn.com/image/fetch/$s_!IVtC!,w_848,c_limit,f_webp,q_auto:good,fl_progressive:steep/https%3A%2F%2Fsubstack-post-media.s3.amazonaws.com%2Fpublic%2Fimages%2F3e47fc5e-35a7-46b8-9e70-188e437e338e.heic 848w, https://substackcdn.com/image/fetch/$s_!IVtC!,w_1272,c_limit,f_webp,q_auto:good,fl_progressive:steep/https%3A%2F%2Fsubstack-post-media.s3.amazonaws.com%2Fpublic%2Fimages%2F3e47fc5e-35a7-46b8-9e70-188e437e338e.heic 1272w, https://substackcdn.com/image/fetch/$s_!IVtC!,w_1456,c_limit,f_webp,q_auto:good,fl_progressive:steep/https%3A%2F%2Fsubstack-post-media.s3.amazonaws.com%2Fpublic%2Fimages%2F3e47fc5e-35a7-46b8-9e70-188e437e338e.heic 1456w" sizes="100vw"><img src="https://substackcdn.com/image/fetch/$s_!IVtC!,w_1456,c_limit,f_auto,q_auto:good,fl_progressive:steep/https%3A%2F%2Fsubstack-post-media.s3.amazonaws.com%2Fpublic%2Fimages%2F3e47fc5e-35a7-46b8-9e70-188e437e338e.heic" width="1349" height="1349" data-attrs="{&quot;src&quot;:&quot;https://substack-post-media.s3.amazonaws.com/public/images/3e47fc5e-35a7-46b8-9e70-188e437e338e.heic&quot;,&quot;srcNoWatermark&quot;:null,&quot;fullscreen&quot;:null,&quot;imageSize&quot;:null,&quot;height&quot;:1349,&quot;width&quot;:1349,&quot;resizeWidth&quot;:null,&quot;bytes&quot;:52931,&quot;alt&quot;:null,&quot;title&quot;:null,&quot;type&quot;:&quot;image/heic&quot;,&quot;href&quot;:null,&quot;belowTheFold&quot;:true,&quot;topImage&quot;:false,&quot;internalRedirect&quot;:null,&quot;isProcessing&quot;:false,&quot;align&quot;:null,&quot;offset&quot;:false}" class="sizing-normal" alt="" srcset="https://substackcdn.com/image/fetch/$s_!IVtC!,w_424,c_limit,f_auto,q_auto:good,fl_progressive:steep/https%3A%2F%2Fsubstack-post-media.s3.amazonaws.com%2Fpublic%2Fimages%2F3e47fc5e-35a7-46b8-9e70-188e437e338e.heic 424w, https://substackcdn.com/image/fetch/$s_!IVtC!,w_848,c_limit,f_auto,q_auto:good,fl_progressive:steep/https%3A%2F%2Fsubstack-post-media.s3.amazonaws.com%2Fpublic%2Fimages%2F3e47fc5e-35a7-46b8-9e70-188e437e338e.heic 848w, https://substackcdn.com/image/fetch/$s_!IVtC!,w_1272,c_limit,f_auto,q_auto:good,fl_progressive:steep/https%3A%2F%2Fsubstack-post-media.s3.amazonaws.com%2Fpublic%2Fimages%2F3e47fc5e-35a7-46b8-9e70-188e437e338e.heic 1272w, https://substackcdn.com/image/fetch/$s_!IVtC!,w_1456,c_limit,f_auto,q_auto:good,fl_progressive:steep/https%3A%2F%2Fsubstack-post-media.s3.amazonaws.com%2Fpublic%2Fimages%2F3e47fc5e-35a7-46b8-9e70-188e437e338e.heic 1456w" sizes="100vw" loading="lazy"></picture><div class="image-link-expand"><div class="pencraft pc-display-flex pc-gap-8 pc-reset"><button tabindex="0" type="button" class="pencraft pc-reset pencraft icon-container restack-image"><svg role="img" width="20" height="20" viewBox="0 0 20 20" fill="none" stroke-width="1.5" stroke="var(--color-fg-primary)" stroke-linecap="round" stroke-linejoin="round" xmlns="http://www.w3.org/2000/svg"><g><title></title><path d="M2.53001 7.81595C3.49179 4.73911 6.43281 2.5 9.91173 2.5C13.1684 2.5 15.9537 4.46214 17.0852 7.23684L17.6179 8.67647M17.6179 8.67647L18.5002 4.26471M17.6179 8.67647L13.6473 6.91176M17.4995 12.1841C16.5378 15.2609 13.5967 17.5 10.1178 17.5C6.86118 17.5 4.07589 15.5379 2.94432 12.7632L2.41165 11.3235M2.41165 11.3235L1.5293 15.7353M2.41165 11.3235L6.38224 13.0882"></path></g></svg></button><button tabindex="0" type="button" class="pencraft pc-reset pencraft icon-container view-image"><svg xmlns="http://www.w3.org/2000/svg" width="20" height="20" viewBox="0 0 24 24" fill="none" stroke="currentColor" stroke-width="2" stroke-linecap="round" stroke-linejoin="round" class="lucide lucide-maximize2 lucide-maximize-2"><polyline points="15 3 21 3 21 9"></polyline><polyline points="9 21 3 21 3 15"></polyline><line x1="21" x2="14" y1="3" y2="10"></line><line x1="3" x2="10" y1="21" y2="14"></line></svg></button></div></div></div></a></figure></div><p><strong>Frontal sinus mucocele.</strong> Right frontal sinus opacification with smooth expansion and erosion of the anterior orbital roof. Associated inferior displacement of the globe. Intraorbital soft tissue infiltration indicates cellulitis.</p><div class="image-gallery-embed" data-attrs="{&quot;gallery&quot;:{&quot;images&quot;:[{&quot;type&quot;:&quot;image/jpeg&quot;,&quot;src&quot;:&quot;https://substack-post-media.s3.amazonaws.com/public/images/2ef15456-77c5-4f39-8843-bb678a7af3f6_1304x1304.jpeg&quot;},{&quot;type&quot;:&quot;image/jpeg&quot;,&quot;src&quot;:&quot;https://substack-post-media.s3.amazonaws.com/public/images/c2588cd8-329f-4ed7-8059-88430f0ae461_1258x1258.jpeg&quot;}],&quot;caption&quot;:&quot;&quot;,&quot;alt&quot;:&quot;&quot;,&quot;staticGalleryImage&quot;:{&quot;type&quot;:&quot;image/png&quot;,&quot;src&quot;:&quot;https://substack-post-media.s3.amazonaws.com/public/images/a292d600-f389-4b74-9717-eb1ae2bc4858_1456x720.png&quot;}},&quot;isEditorNode&quot;:true}"></div><p><strong>Brain abscess due to frontal sinus obstruction by osteoma.</strong> Large frontal sinus osteoma with small ruptured mucocele and complicating right frontal lobe brain abscess.</p>]]></content:encoded></item><item><title><![CDATA[Cervical vascular injury]]></title><description><![CDATA[Head and neck]]></description><link>https://radnotes.substack.com/p/cervical-vascular-injury</link><guid isPermaLink="false">https://radnotes.substack.com/p/cervical-vascular-injury</guid><dc:creator><![CDATA[Alexander Baxter]]></dc:creator><pubDate>Wed, 07 Feb 2024 14:51:33 GMT</pubDate><enclosure url="https://substackcdn.com/image/fetch/$s_!2Dep!,f_auto,q_auto:good,fl_progressive:steep/https%3A%2F%2Fsubstack-post-media.s3.amazonaws.com%2Fpublic%2Fimages%2F7727bc99-3c41-4cf4-a07a-f1de60d3d023_658x658.jpeg" length="0" type="image/jpeg"/><content:encoded><![CDATA[<p>Stretching, twisting, or compression of the neck can result in carotid or vertebral artery dissection, which is characterized by intimal injury, intramural hemorrhage, vascular narrowing, and potential intravascular thrombosis with embolization. When the subendothelium is exposed to blood, it induces a coagulation/repair process that can form small clots. These can embolize to the cerebral circulation and lead to an acute arterial distribution infarct. Dissection is an important cause of stroke in patients under 45 years and should be considered in the young or middle-aged adult with new-onset neurologic deficits.</p><p>Dissection may follow major blunt neck trauma or trivial injury, including head turning or chiropractic manipulation. Many patients have no history of prior neck trauma. Connective tissue disorders such as Marfan and Ehlers-Danlos syndromes may predispose to spontaneous or minimal-injury dissection. In high-velocity trauma, carotid injury often occurs at the junction of the cervical and petrous segments of the internal carotid artery, where the vessel enters the skull. Patients without a history of acute trauma may present with unilateral headache, retro-orbital pain, facial pain, or upper neck pain. Ipsilateral Horner syndrome without anhidrosis or retinal ischemia are more specific findings that should prompt urgent imaging investigation. If a cerebral infarct has already occurred, hemiparesis, hemisensory loss, or aphasia may be the dominant finding.</p><p>CT without contrast is the initial study obtained in head trauma and suspected acute cerebral infarct, but it is not sensitive for detection of vascular injury. CT angiography (CTA) is the study of choice for detecting either dissection or pseudoaneurysm. Clinical indications for CTA include: Glasgow coma scale score &lt; 6, diffuse axonal injury, severe facial fractures, skull base fractures, upper cervical spine fractures, fractures involving the transverse vertebral foramina, neck hematoma, and hanging mechanisms.</p><p>CTA accurately evaluates most acute cervical vascular injuries. Conventional angiography is reserved for cases in which endovascular therapy such as embolization, angioplasty, and stent placement is contemplated. In carotid artery dissection, CTA shows an eccentric, narrowed, arterial lumen associated with a thick vascular wall, often greater in diameter than that of the contralateral artery. MRI is sensitive for arterial dissection and is often obtained in the patient without a history of significant trauma. On cross-sectional T1-weighted images (optimally with fat suppression), the intramural hematoma appears as an isointense or hyperintense crescent in the vessel wall. After several days, the hematoma becomes hyperintense on T1 MRI.</p><div class="image-gallery-embed" data-attrs="{&quot;gallery&quot;:{&quot;images&quot;:[{&quot;type&quot;:&quot;image/jpeg&quot;,&quot;src&quot;:&quot;https://substack-post-media.s3.amazonaws.com/public/images/7727bc99-3c41-4cf4-a07a-f1de60d3d023_658x658.jpeg&quot;},{&quot;type&quot;:&quot;image/jpeg&quot;,&quot;src&quot;:&quot;https://substack-post-media.s3.amazonaws.com/public/images/dfa5eb55-ac4a-4000-8db4-75cf4f8e56bd_651x651.jpeg&quot;}],&quot;caption&quot;:&quot;&quot;,&quot;alt&quot;:&quot;&quot;,&quot;staticGalleryImage&quot;:{&quot;type&quot;:&quot;image/png&quot;,&quot;src&quot;:&quot;https://substack-post-media.s3.amazonaws.com/public/images/b11c56e4-3e09-4270-a0e3-25702105858f_1456x720.png&quot;}},&quot;isEditorNode&quot;:true}"></div><p><strong>Carotid dissection.</strong> CTA shows marked narrowing of the right internal carotid artery (medial to the styloid process and anterior to the jugular vein). The left carotid artery is normal. T1-weighted MRI shows a large, high-signal intramural hematoma with severely narrowed luminal flow void.</p><div class="image-gallery-embed" data-attrs="{&quot;gallery&quot;:{&quot;images&quot;:[{&quot;type&quot;:&quot;image/jpeg&quot;,&quot;src&quot;:&quot;https://substack-post-media.s3.amazonaws.com/public/images/b4518960-08ae-4850-ab13-e946ce72ebd8_1266x1266.jpeg&quot;},{&quot;type&quot;:&quot;image/jpeg&quot;,&quot;src&quot;:&quot;https://substack-post-media.s3.amazonaws.com/public/images/61f90651-6206-4708-82af-2fa379fa2182_957x957.jpeg&quot;}],&quot;caption&quot;:&quot;&quot;,&quot;alt&quot;:&quot;&quot;,&quot;staticGalleryImage&quot;:{&quot;type&quot;:&quot;image/png&quot;,&quot;src&quot;:&quot;https://substack-post-media.s3.amazonaws.com/public/images/ba9369a0-8496-4c01-897e-e7d23fddda21_1456x720.png&quot;}},&quot;isEditorNode&quot;:true}"></div><p><strong>Bilateral traumatic carotid injury.</strong> Generalized cerebral swelling with absent gray-white differentiation. Normal opacification of the posterior cerebral arteries with complete absence of cavernous carotid artery opacification. Occluded  right and left internal carotid arteries ~ 1-2 cm proximal to the skull base (coronal images). Left petrous carotid contrast is due to retrograde filling from vertebral circulation/posterior communicating arteries.</p><div><hr></div><p>Carotid pseudoaneurysm is an uncommon complication of neck trauma, especially penetrating injury. Blood that extravasates from a vascular tear accumulates in and is contained by the adjacent tissues, forming a contained outpouching that has the potential for expansion and later catastrophic rupture.</p><div class="image-gallery-embed" data-attrs="{&quot;gallery&quot;:{&quot;images&quot;:[{&quot;type&quot;:&quot;image/jpeg&quot;,&quot;src&quot;:&quot;https://substack-post-media.s3.amazonaws.com/public/images/2b1bc908-5bcb-4b3d-96e5-0f878763ded4_568x568.jpeg&quot;},{&quot;type&quot;:&quot;image/jpeg&quot;,&quot;src&quot;:&quot;https://substack-post-media.s3.amazonaws.com/public/images/7e9f4539-2287-4799-aea5-443434508a46_441x441.jpeg&quot;}],&quot;caption&quot;:&quot;&quot;,&quot;alt&quot;:&quot;&quot;,&quot;staticGalleryImage&quot;:{&quot;type&quot;:&quot;image/png&quot;,&quot;src&quot;:&quot;https://substack-post-media.s3.amazonaws.com/public/images/f80652e2-8c09-488e-bb82-6781502a8b96_1456x720.png&quot;}},&quot;isEditorNode&quot;:true}"></div><p><strong>Carotid pseudoaneurysm following choking injury.</strong> A 1 mm pseudoaneurysm arises from the cervical portion of the right internal carotid artery.</p><p></p>]]></content:encoded></item><item><title><![CDATA[Laryngeal fracture]]></title><description><![CDATA[Head and Neck]]></description><link>https://radnotes.substack.com/p/laryngeal-fracture</link><guid isPermaLink="false">https://radnotes.substack.com/p/laryngeal-fracture</guid><dc:creator><![CDATA[Alexander Baxter]]></dc:creator><pubDate>Tue, 26 Dec 2023 21:53:14 GMT</pubDate><enclosure url="https://substackcdn.com/image/fetch/$s_!rA-J!,f_auto,q_auto:good,fl_progressive:steep/https%3A%2F%2Fsubstack-post-media.s3.amazonaws.com%2Fpublic%2Fimages%2Fd4879f2c-90d1-441e-98be-8330fe7a7a44_788x788.jpeg" length="0" type="image/jpeg"/><content:encoded><![CDATA[<p>Laryngeal fractures are rare, and most are due to blunt trauma from motor vehicle and sports injuries, although penetrating injuries do occur. The larynx is necessary for maintaining airway patency and protection, swallowing, and phonation; consequences of laryngeal fracture or injury include airway obstruction, aspiration, and vocal dysfunction. Complete laryngo-tracheal separation is generally fatal unless immediately detected and stabilized. The primary goal of emergency management is to protect the airway, which may require intubation or tracheostomy.</p><p>Clinical findings in laryngeal trauma include subcutaneous emphysema and loss of the normal tracheal prominence. Careful attention to the laryngeal skeleton on CT examination, particularly in intubated patients, detects laryngeal fractures, which can be managed by early tracheostomy and surgical repair. In polytrauma patients, hyoid, cricoid, and thyroid cartilage fractures can be easily overlooked and diagnosis delayed for days or weeks, until the patient is extubated and late complications such as dysphonia or aspiration become apparent.</p><p>Patients who can cooperate with clinical examination may present with dyspnea, dysphonia, hoarseness, dysphagia, odynophagia, neck pain, or hemoptysis. These symptoms should prompt laryngoscopy and CT imaging.</p><p>CT findings include cartilage discontinuity, soft tissue asymmetry, subcutaneous and deep space emphysema, submucosal edema, and laryngeal hematoma.</p><p></p><div class="image-gallery-embed" data-attrs="{&quot;gallery&quot;:{&quot;images&quot;:[{&quot;type&quot;:&quot;image/jpeg&quot;,&quot;src&quot;:&quot;https://substack-post-media.s3.amazonaws.com/public/images/d4879f2c-90d1-441e-98be-8330fe7a7a44_788x788.jpeg&quot;},{&quot;type&quot;:&quot;image/jpeg&quot;,&quot;src&quot;:&quot;https://substack-post-media.s3.amazonaws.com/public/images/ac25a9cd-ca73-465e-b1fb-0aff5cf8e9e6_882x882.jpeg&quot;}],&quot;caption&quot;:&quot;&quot;,&quot;alt&quot;:&quot;&quot;,&quot;staticGalleryImage&quot;:{&quot;type&quot;:&quot;image/png&quot;,&quot;src&quot;:&quot;https://substack-post-media.s3.amazonaws.com/public/images/eb66b9f5-2222-4bb5-98e9-0deae98529d4_1456x720.png&quot;}},&quot;isEditorNode&quot;:true}"></div><p><strong>Hyoid and thyroid cartilage fractures.</strong> Right hyoid&nbsp; and thyroid cornua fractures. Moderate laryngeal edema</p><div class="captioned-image-container"><figure><a class="image-link image2 is-viewable-img" target="_blank" href="https://substackcdn.com/image/fetch/$s_!1Rzk!,f_auto,q_auto:good,fl_progressive:steep/https%3A%2F%2Fsubstack-post-media.s3.amazonaws.com%2Fpublic%2Fimages%2Fcb3bf82f-6678-4bf0-98ee-77f17b3effe9.heic" data-component-name="Image2ToDOM"><div class="image2-inset"><picture><source type="image/webp" srcset="https://substackcdn.com/image/fetch/$s_!1Rzk!,w_424,c_limit,f_webp,q_auto:good,fl_progressive:steep/https%3A%2F%2Fsubstack-post-media.s3.amazonaws.com%2Fpublic%2Fimages%2Fcb3bf82f-6678-4bf0-98ee-77f17b3effe9.heic 424w, https://substackcdn.com/image/fetch/$s_!1Rzk!,w_848,c_limit,f_webp,q_auto:good,fl_progressive:steep/https%3A%2F%2Fsubstack-post-media.s3.amazonaws.com%2Fpublic%2Fimages%2Fcb3bf82f-6678-4bf0-98ee-77f17b3effe9.heic 848w, https://substackcdn.com/image/fetch/$s_!1Rzk!,w_1272,c_limit,f_webp,q_auto:good,fl_progressive:steep/https%3A%2F%2Fsubstack-post-media.s3.amazonaws.com%2Fpublic%2Fimages%2Fcb3bf82f-6678-4bf0-98ee-77f17b3effe9.heic 1272w, https://substackcdn.com/image/fetch/$s_!1Rzk!,w_1456,c_limit,f_webp,q_auto:good,fl_progressive:steep/https%3A%2F%2Fsubstack-post-media.s3.amazonaws.com%2Fpublic%2Fimages%2Fcb3bf82f-6678-4bf0-98ee-77f17b3effe9.heic 1456w" sizes="100vw"><img src="https://substackcdn.com/image/fetch/$s_!1Rzk!,w_1456,c_limit,f_auto,q_auto:good,fl_progressive:steep/https%3A%2F%2Fsubstack-post-media.s3.amazonaws.com%2Fpublic%2Fimages%2Fcb3bf82f-6678-4bf0-98ee-77f17b3effe9.heic" width="1315" height="1314" data-attrs="{&quot;src&quot;:&quot;https://substack-post-media.s3.amazonaws.com/public/images/cb3bf82f-6678-4bf0-98ee-77f17b3effe9.heic&quot;,&quot;srcNoWatermark&quot;:null,&quot;fullscreen&quot;:null,&quot;imageSize&quot;:null,&quot;height&quot;:1314,&quot;width&quot;:1315,&quot;resizeWidth&quot;:null,&quot;bytes&quot;:46250,&quot;alt&quot;:null,&quot;title&quot;:null,&quot;type&quot;:&quot;image/heic&quot;,&quot;href&quot;:null,&quot;belowTheFold&quot;:false,&quot;topImage&quot;:true,&quot;internalRedirect&quot;:null,&quot;isProcessing&quot;:false,&quot;align&quot;:null,&quot;offset&quot;:false}" class="sizing-normal" alt="" srcset="https://substackcdn.com/image/fetch/$s_!1Rzk!,w_424,c_limit,f_auto,q_auto:good,fl_progressive:steep/https%3A%2F%2Fsubstack-post-media.s3.amazonaws.com%2Fpublic%2Fimages%2Fcb3bf82f-6678-4bf0-98ee-77f17b3effe9.heic 424w, https://substackcdn.com/image/fetch/$s_!1Rzk!,w_848,c_limit,f_auto,q_auto:good,fl_progressive:steep/https%3A%2F%2Fsubstack-post-media.s3.amazonaws.com%2Fpublic%2Fimages%2Fcb3bf82f-6678-4bf0-98ee-77f17b3effe9.heic 848w, https://substackcdn.com/image/fetch/$s_!1Rzk!,w_1272,c_limit,f_auto,q_auto:good,fl_progressive:steep/https%3A%2F%2Fsubstack-post-media.s3.amazonaws.com%2Fpublic%2Fimages%2Fcb3bf82f-6678-4bf0-98ee-77f17b3effe9.heic 1272w, https://substackcdn.com/image/fetch/$s_!1Rzk!,w_1456,c_limit,f_auto,q_auto:good,fl_progressive:steep/https%3A%2F%2Fsubstack-post-media.s3.amazonaws.com%2Fpublic%2Fimages%2Fcb3bf82f-6678-4bf0-98ee-77f17b3effe9.heic 1456w" sizes="100vw" fetchpriority="high"></picture><div class="image-link-expand"><div class="pencraft pc-display-flex pc-gap-8 pc-reset"><button tabindex="0" type="button" class="pencraft pc-reset pencraft icon-container restack-image"><svg role="img" width="20" height="20" viewBox="0 0 20 20" fill="none" stroke-width="1.5" stroke="var(--color-fg-primary)" stroke-linecap="round" stroke-linejoin="round" xmlns="http://www.w3.org/2000/svg"><g><title></title><path d="M2.53001 7.81595C3.49179 4.73911 6.43281 2.5 9.91173 2.5C13.1684 2.5 15.9537 4.46214 17.0852 7.23684L17.6179 8.67647M17.6179 8.67647L18.5002 4.26471M17.6179 8.67647L13.6473 6.91176M17.4995 12.1841C16.5378 15.2609 13.5967 17.5 10.1178 17.5C6.86118 17.5 4.07589 15.5379 2.94432 12.7632L2.41165 11.3235M2.41165 11.3235L1.5293 15.7353M2.41165 11.3235L6.38224 13.0882"></path></g></svg></button><button tabindex="0" type="button" class="pencraft pc-reset pencraft icon-container view-image"><svg xmlns="http://www.w3.org/2000/svg" width="20" height="20" viewBox="0 0 24 24" fill="none" stroke="currentColor" stroke-width="2" stroke-linecap="round" stroke-linejoin="round" class="lucide lucide-maximize2 lucide-maximize-2"><polyline points="15 3 21 3 21 9"></polyline><polyline points="9 21 3 21 3 15"></polyline><line x1="21" x2="14" y1="3" y2="10"></line><line x1="3" x2="10" y1="21" y2="14"></line></svg></button></div></div></div></a></figure></div><p><strong>Thyroid and cricoid cartilage fractures.</strong> Bilateral anterior thyroid cartilage fractures, with grossly displaced cricoid fracture and associated soft tissue edema.</p><div class="captioned-image-container"><figure><a class="image-link image2 is-viewable-img" target="_blank" href="https://substackcdn.com/image/fetch/$s_!7c87!,f_auto,q_auto:good,fl_progressive:steep/https%3A%2F%2Fsubstack-post-media.s3.amazonaws.com%2Fpublic%2Fimages%2F86f6161a-da27-48ef-8976-52cdec8a4da3.heic" data-component-name="Image2ToDOM"><div class="image2-inset"><picture><source type="image/webp" srcset="https://substackcdn.com/image/fetch/$s_!7c87!,w_424,c_limit,f_webp,q_auto:good,fl_progressive:steep/https%3A%2F%2Fsubstack-post-media.s3.amazonaws.com%2Fpublic%2Fimages%2F86f6161a-da27-48ef-8976-52cdec8a4da3.heic 424w, https://substackcdn.com/image/fetch/$s_!7c87!,w_848,c_limit,f_webp,q_auto:good,fl_progressive:steep/https%3A%2F%2Fsubstack-post-media.s3.amazonaws.com%2Fpublic%2Fimages%2F86f6161a-da27-48ef-8976-52cdec8a4da3.heic 848w, https://substackcdn.com/image/fetch/$s_!7c87!,w_1272,c_limit,f_webp,q_auto:good,fl_progressive:steep/https%3A%2F%2Fsubstack-post-media.s3.amazonaws.com%2Fpublic%2Fimages%2F86f6161a-da27-48ef-8976-52cdec8a4da3.heic 1272w, https://substackcdn.com/image/fetch/$s_!7c87!,w_1456,c_limit,f_webp,q_auto:good,fl_progressive:steep/https%3A%2F%2Fsubstack-post-media.s3.amazonaws.com%2Fpublic%2Fimages%2F86f6161a-da27-48ef-8976-52cdec8a4da3.heic 1456w" sizes="100vw"><img src="https://substackcdn.com/image/fetch/$s_!7c87!,w_1456,c_limit,f_auto,q_auto:good,fl_progressive:steep/https%3A%2F%2Fsubstack-post-media.s3.amazonaws.com%2Fpublic%2Fimages%2F86f6161a-da27-48ef-8976-52cdec8a4da3.heic" width="904" height="904" data-attrs="{&quot;src&quot;:&quot;https://substack-post-media.s3.amazonaws.com/public/images/86f6161a-da27-48ef-8976-52cdec8a4da3.heic&quot;,&quot;srcNoWatermark&quot;:null,&quot;fullscreen&quot;:null,&quot;imageSize&quot;:null,&quot;height&quot;:904,&quot;width&quot;:904,&quot;resizeWidth&quot;:null,&quot;bytes&quot;:32359,&quot;alt&quot;:null,&quot;title&quot;:null,&quot;type&quot;:&quot;image/heic&quot;,&quot;href&quot;:null,&quot;belowTheFold&quot;:true,&quot;topImage&quot;:false,&quot;internalRedirect&quot;:null,&quot;isProcessing&quot;:false,&quot;align&quot;:null,&quot;offset&quot;:false}" class="sizing-normal" alt="" srcset="https://substackcdn.com/image/fetch/$s_!7c87!,w_424,c_limit,f_auto,q_auto:good,fl_progressive:steep/https%3A%2F%2Fsubstack-post-media.s3.amazonaws.com%2Fpublic%2Fimages%2F86f6161a-da27-48ef-8976-52cdec8a4da3.heic 424w, https://substackcdn.com/image/fetch/$s_!7c87!,w_848,c_limit,f_auto,q_auto:good,fl_progressive:steep/https%3A%2F%2Fsubstack-post-media.s3.amazonaws.com%2Fpublic%2Fimages%2F86f6161a-da27-48ef-8976-52cdec8a4da3.heic 848w, https://substackcdn.com/image/fetch/$s_!7c87!,w_1272,c_limit,f_auto,q_auto:good,fl_progressive:steep/https%3A%2F%2Fsubstack-post-media.s3.amazonaws.com%2Fpublic%2Fimages%2F86f6161a-da27-48ef-8976-52cdec8a4da3.heic 1272w, https://substackcdn.com/image/fetch/$s_!7c87!,w_1456,c_limit,f_auto,q_auto:good,fl_progressive:steep/https%3A%2F%2Fsubstack-post-media.s3.amazonaws.com%2Fpublic%2Fimages%2F86f6161a-da27-48ef-8976-52cdec8a4da3.heic 1456w" sizes="100vw" loading="lazy"></picture><div class="image-link-expand"><div class="pencraft pc-display-flex pc-gap-8 pc-reset"><button tabindex="0" type="button" class="pencraft pc-reset pencraft icon-container restack-image"><svg role="img" width="20" height="20" viewBox="0 0 20 20" fill="none" stroke-width="1.5" stroke="var(--color-fg-primary)" stroke-linecap="round" stroke-linejoin="round" xmlns="http://www.w3.org/2000/svg"><g><title></title><path d="M2.53001 7.81595C3.49179 4.73911 6.43281 2.5 9.91173 2.5C13.1684 2.5 15.9537 4.46214 17.0852 7.23684L17.6179 8.67647M17.6179 8.67647L18.5002 4.26471M17.6179 8.67647L13.6473 6.91176M17.4995 12.1841C16.5378 15.2609 13.5967 17.5 10.1178 17.5C6.86118 17.5 4.07589 15.5379 2.94432 12.7632L2.41165 11.3235M2.41165 11.3235L1.5293 15.7353M2.41165 11.3235L6.38224 13.0882"></path></g></svg></button><button tabindex="0" type="button" class="pencraft pc-reset pencraft icon-container view-image"><svg xmlns="http://www.w3.org/2000/svg" width="20" height="20" viewBox="0 0 24 24" fill="none" stroke="currentColor" stroke-width="2" stroke-linecap="round" stroke-linejoin="round" class="lucide lucide-maximize2 lucide-maximize-2"><polyline points="15 3 21 3 21 9"></polyline><polyline points="9 21 3 21 3 15"></polyline><line x1="21" x2="14" y1="3" y2="10"></line><line x1="3" x2="10" y1="21" y2="14"></line></svg></button></div></div></div></a></figure></div><p><strong>Thyroid and cricoid cartilage fractures in an intubated patient.</strong> Anterior thyroid cartilage and posterior cricoid fractures.</p>]]></content:encoded></item><item><title><![CDATA[Mandible fracture]]></title><description><![CDATA[Head and Neck]]></description><link>https://radnotes.substack.com/p/mandible-fracture</link><guid isPermaLink="false">https://radnotes.substack.com/p/mandible-fracture</guid><dc:creator><![CDATA[Alexander Baxter]]></dc:creator><pubDate>Thu, 12 Oct 2023 14:05:00 GMT</pubDate><enclosure url="https://substackcdn.com/image/fetch/$s_!V1zR!,f_auto,q_auto:good,fl_progressive:steep/https%3A%2F%2Fsubstack-post-media.s3.amazonaws.com%2Fpublic%2Fimages%2F91a4ef7f-18d8-41cd-a503-fc64bcc64340_713x715.jpeg" length="0" type="image/jpeg"/><content:encoded><![CDATA[<p>Mandible fractures are classified by location: condyle, coronoid process, subcondyle or ramus, angle, body, symphysis/parasymphysis and alveolus. </p><div class="captioned-image-container"><figure><a class="image-link image2 is-viewable-img" target="_blank" href="https://substackcdn.com/image/fetch/$s_!V1zR!,f_auto,q_auto:good,fl_progressive:steep/https%3A%2F%2Fsubstack-post-media.s3.amazonaws.com%2Fpublic%2Fimages%2F91a4ef7f-18d8-41cd-a503-fc64bcc64340_713x715.jpeg" data-component-name="Image2ToDOM"><div class="image2-inset"><picture><source type="image/webp" srcset="https://substackcdn.com/image/fetch/$s_!V1zR!,w_424,c_limit,f_webp,q_auto:good,fl_progressive:steep/https%3A%2F%2Fsubstack-post-media.s3.amazonaws.com%2Fpublic%2Fimages%2F91a4ef7f-18d8-41cd-a503-fc64bcc64340_713x715.jpeg 424w, https://substackcdn.com/image/fetch/$s_!V1zR!,w_848,c_limit,f_webp,q_auto:good,fl_progressive:steep/https%3A%2F%2Fsubstack-post-media.s3.amazonaws.com%2Fpublic%2Fimages%2F91a4ef7f-18d8-41cd-a503-fc64bcc64340_713x715.jpeg 848w, https://substackcdn.com/image/fetch/$s_!V1zR!,w_1272,c_limit,f_webp,q_auto:good,fl_progressive:steep/https%3A%2F%2Fsubstack-post-media.s3.amazonaws.com%2Fpublic%2Fimages%2F91a4ef7f-18d8-41cd-a503-fc64bcc64340_713x715.jpeg 1272w, https://substackcdn.com/image/fetch/$s_!V1zR!,w_1456,c_limit,f_webp,q_auto:good,fl_progressive:steep/https%3A%2F%2Fsubstack-post-media.s3.amazonaws.com%2Fpublic%2Fimages%2F91a4ef7f-18d8-41cd-a503-fc64bcc64340_713x715.jpeg 1456w" sizes="100vw"><img src="https://substackcdn.com/image/fetch/$s_!V1zR!,w_1456,c_limit,f_auto,q_auto:good,fl_progressive:steep/https%3A%2F%2Fsubstack-post-media.s3.amazonaws.com%2Fpublic%2Fimages%2F91a4ef7f-18d8-41cd-a503-fc64bcc64340_713x715.jpeg" width="713" height="715" data-attrs="{&quot;src&quot;:&quot;https://substack-post-media.s3.amazonaws.com/public/images/91a4ef7f-18d8-41cd-a503-fc64bcc64340_713x715.jpeg&quot;,&quot;srcNoWatermark&quot;:null,&quot;fullscreen&quot;:null,&quot;imageSize&quot;:null,&quot;height&quot;:715,&quot;width&quot;:713,&quot;resizeWidth&quot;:null,&quot;bytes&quot;:85231,&quot;alt&quot;:&quot;&quot;,&quot;title&quot;:null,&quot;type&quot;:&quot;image/jpeg&quot;,&quot;href&quot;:null,&quot;belowTheFold&quot;:false,&quot;topImage&quot;:true,&quot;internalRedirect&quot;:null,&quot;isProcessing&quot;:false,&quot;align&quot;:null,&quot;offset&quot;:false}" class="sizing-normal" alt="" title="" srcset="https://substackcdn.com/image/fetch/$s_!V1zR!,w_424,c_limit,f_auto,q_auto:good,fl_progressive:steep/https%3A%2F%2Fsubstack-post-media.s3.amazonaws.com%2Fpublic%2Fimages%2F91a4ef7f-18d8-41cd-a503-fc64bcc64340_713x715.jpeg 424w, https://substackcdn.com/image/fetch/$s_!V1zR!,w_848,c_limit,f_auto,q_auto:good,fl_progressive:steep/https%3A%2F%2Fsubstack-post-media.s3.amazonaws.com%2Fpublic%2Fimages%2F91a4ef7f-18d8-41cd-a503-fc64bcc64340_713x715.jpeg 848w, https://substackcdn.com/image/fetch/$s_!V1zR!,w_1272,c_limit,f_auto,q_auto:good,fl_progressive:steep/https%3A%2F%2Fsubstack-post-media.s3.amazonaws.com%2Fpublic%2Fimages%2F91a4ef7f-18d8-41cd-a503-fc64bcc64340_713x715.jpeg 1272w, https://substackcdn.com/image/fetch/$s_!V1zR!,w_1456,c_limit,f_auto,q_auto:good,fl_progressive:steep/https%3A%2F%2Fsubstack-post-media.s3.amazonaws.com%2Fpublic%2Fimages%2F91a4ef7f-18d8-41cd-a503-fc64bcc64340_713x715.jpeg 1456w" sizes="100vw" fetchpriority="high"></picture><div class="image-link-expand"><div class="pencraft pc-display-flex pc-gap-8 pc-reset"><button tabindex="0" type="button" class="pencraft pc-reset pencraft icon-container restack-image"><svg role="img" width="20" height="20" viewBox="0 0 20 20" fill="none" stroke-width="1.5" stroke="var(--color-fg-primary)" stroke-linecap="round" stroke-linejoin="round" xmlns="http://www.w3.org/2000/svg"><g><title></title><path d="M2.53001 7.81595C3.49179 4.73911 6.43281 2.5 9.91173 2.5C13.1684 2.5 15.9537 4.46214 17.0852 7.23684L17.6179 8.67647M17.6179 8.67647L18.5002 4.26471M17.6179 8.67647L13.6473 6.91176M17.4995 12.1841C16.5378 15.2609 13.5967 17.5 10.1178 17.5C6.86118 17.5 4.07589 15.5379 2.94432 12.7632L2.41165 11.3235M2.41165 11.3235L1.5293 15.7353M2.41165 11.3235L6.38224 13.0882"></path></g></svg></button><button tabindex="0" type="button" class="pencraft pc-reset pencraft icon-container view-image"><svg xmlns="http://www.w3.org/2000/svg" width="20" height="20" viewBox="0 0 24 24" fill="none" stroke="currentColor" stroke-width="2" stroke-linecap="round" stroke-linejoin="round" class="lucide lucide-maximize2 lucide-maximize-2"><polyline points="15 3 21 3 21 9"></polyline><polyline points="9 21 3 21 3 15"></polyline><line x1="21" x2="14" y1="3" y2="10"></line><line x1="3" x2="10" y1="21" y2="14"></line></svg></button></div></div></div></a></figure></div><p><strong>Mandible anatomy</strong> (1) condyle, (2) coronoid process, (3) subcondyle or ramus, (4) angle, (5) body, (6) symphysis/parasymphysis, (7) alveolus.  </p><div><hr></div><p>&#8220;Favorable&#8221; fractures are located more posteriorly at the superior mandibular margin and more anteriorly at the inferior margin; these fractures tend to be held in alignment by the pterygoid muscles. &#8220;Unfavorable&#8221; fractures, which have the opposite orientation, are distracted by normal muscular forces.</p><div class="captioned-image-container"><figure><a class="image-link image2 is-viewable-img" target="_blank" href="https://substackcdn.com/image/fetch/$s_!GS3s!,f_auto,q_auto:good,fl_progressive:steep/https%3A%2F%2Fsubstack-post-media.s3.amazonaws.com%2Fpublic%2Fimages%2Fba6064d5-fd55-4cba-8642-1be98bc86b9d_1437x719.jpeg" data-component-name="Image2ToDOM"><div class="image2-inset"><picture><source type="image/webp" srcset="https://substackcdn.com/image/fetch/$s_!GS3s!,w_424,c_limit,f_webp,q_auto:good,fl_progressive:steep/https%3A%2F%2Fsubstack-post-media.s3.amazonaws.com%2Fpublic%2Fimages%2Fba6064d5-fd55-4cba-8642-1be98bc86b9d_1437x719.jpeg 424w, https://substackcdn.com/image/fetch/$s_!GS3s!,w_848,c_limit,f_webp,q_auto:good,fl_progressive:steep/https%3A%2F%2Fsubstack-post-media.s3.amazonaws.com%2Fpublic%2Fimages%2Fba6064d5-fd55-4cba-8642-1be98bc86b9d_1437x719.jpeg 848w, https://substackcdn.com/image/fetch/$s_!GS3s!,w_1272,c_limit,f_webp,q_auto:good,fl_progressive:steep/https%3A%2F%2Fsubstack-post-media.s3.amazonaws.com%2Fpublic%2Fimages%2Fba6064d5-fd55-4cba-8642-1be98bc86b9d_1437x719.jpeg 1272w, https://substackcdn.com/image/fetch/$s_!GS3s!,w_1456,c_limit,f_webp,q_auto:good,fl_progressive:steep/https%3A%2F%2Fsubstack-post-media.s3.amazonaws.com%2Fpublic%2Fimages%2Fba6064d5-fd55-4cba-8642-1be98bc86b9d_1437x719.jpeg 1456w" sizes="100vw"><img src="https://substackcdn.com/image/fetch/$s_!GS3s!,w_1456,c_limit,f_auto,q_auto:good,fl_progressive:steep/https%3A%2F%2Fsubstack-post-media.s3.amazonaws.com%2Fpublic%2Fimages%2Fba6064d5-fd55-4cba-8642-1be98bc86b9d_1437x719.jpeg" width="1437" height="719" data-attrs="{&quot;src&quot;:&quot;https://substack-post-media.s3.amazonaws.com/public/images/ba6064d5-fd55-4cba-8642-1be98bc86b9d_1437x719.jpeg&quot;,&quot;srcNoWatermark&quot;:null,&quot;fullscreen&quot;:null,&quot;imageSize&quot;:null,&quot;height&quot;:719,&quot;width&quot;:1437,&quot;resizeWidth&quot;:null,&quot;bytes&quot;:154796,&quot;alt&quot;:&quot;&quot;,&quot;title&quot;:null,&quot;type&quot;:&quot;image/jpeg&quot;,&quot;href&quot;:null,&quot;belowTheFold&quot;:false,&quot;topImage&quot;:false,&quot;internalRedirect&quot;:null,&quot;isProcessing&quot;:false,&quot;align&quot;:null,&quot;offset&quot;:false}" class="sizing-normal" alt="" title="" srcset="https://substackcdn.com/image/fetch/$s_!GS3s!,w_424,c_limit,f_auto,q_auto:good,fl_progressive:steep/https%3A%2F%2Fsubstack-post-media.s3.amazonaws.com%2Fpublic%2Fimages%2Fba6064d5-fd55-4cba-8642-1be98bc86b9d_1437x719.jpeg 424w, https://substackcdn.com/image/fetch/$s_!GS3s!,w_848,c_limit,f_auto,q_auto:good,fl_progressive:steep/https%3A%2F%2Fsubstack-post-media.s3.amazonaws.com%2Fpublic%2Fimages%2Fba6064d5-fd55-4cba-8642-1be98bc86b9d_1437x719.jpeg 848w, https://substackcdn.com/image/fetch/$s_!GS3s!,w_1272,c_limit,f_auto,q_auto:good,fl_progressive:steep/https%3A%2F%2Fsubstack-post-media.s3.amazonaws.com%2Fpublic%2Fimages%2Fba6064d5-fd55-4cba-8642-1be98bc86b9d_1437x719.jpeg 1272w, https://substackcdn.com/image/fetch/$s_!GS3s!,w_1456,c_limit,f_auto,q_auto:good,fl_progressive:steep/https%3A%2F%2Fsubstack-post-media.s3.amazonaws.com%2Fpublic%2Fimages%2Fba6064d5-fd55-4cba-8642-1be98bc86b9d_1437x719.jpeg 1456w" sizes="100vw"></picture><div class="image-link-expand"><div class="pencraft pc-display-flex pc-gap-8 pc-reset"><button tabindex="0" type="button" class="pencraft pc-reset pencraft icon-container restack-image"><svg role="img" width="20" height="20" viewBox="0 0 20 20" fill="none" stroke-width="1.5" stroke="var(--color-fg-primary)" stroke-linecap="round" stroke-linejoin="round" xmlns="http://www.w3.org/2000/svg"><g><title></title><path d="M2.53001 7.81595C3.49179 4.73911 6.43281 2.5 9.91173 2.5C13.1684 2.5 15.9537 4.46214 17.0852 7.23684L17.6179 8.67647M17.6179 8.67647L18.5002 4.26471M17.6179 8.67647L13.6473 6.91176M17.4995 12.1841C16.5378 15.2609 13.5967 17.5 10.1178 17.5C6.86118 17.5 4.07589 15.5379 2.94432 12.7632L2.41165 11.3235M2.41165 11.3235L1.5293 15.7353M2.41165 11.3235L6.38224 13.0882"></path></g></svg></button><button tabindex="0" type="button" class="pencraft pc-reset pencraft icon-container view-image"><svg xmlns="http://www.w3.org/2000/svg" width="20" height="20" viewBox="0 0 24 24" fill="none" stroke="currentColor" stroke-width="2" stroke-linecap="round" stroke-linejoin="round" class="lucide lucide-maximize2 lucide-maximize-2"><polyline points="15 3 21 3 21 9"></polyline><polyline points="9 21 3 21 3 15"></polyline><line x1="21" x2="14" y1="3" y2="10"></line><line x1="3" x2="10" y1="21" y2="14"></line></svg></button></div></div></div></a></figure></div><p> <strong>Fracture orientation:</strong> B Favorable orientation; likely to maintain alignment due to action of pterygoid muscles. C Unfavorable orientation; likely to displace without fixation. </p><div><hr></div><p>Because the mandible and the attached skull base form a ring, fractures often occur either at two sites or at a one site with associated temporomandibular joint separation. Frontal impact results in symphyseal fractures, while lateral impact, typical of assault injuries, leads to condylar, angle, or body fractures. Facial swelling, dental malocclusion, trismus, and intraoral bleeding are common clinical findings. A fracture that enters the root of a tooth is considered an open fracture, and these patients will require antibiotics.</p><div class="image-gallery-embed" data-attrs="{&quot;gallery&quot;:{&quot;images&quot;:[{&quot;type&quot;:&quot;image/jpeg&quot;,&quot;src&quot;:&quot;https://substack-post-media.s3.amazonaws.com/public/images/6cad90cc-a30f-4b67-aa7d-be1a6fc5fc1a_973x973.jpeg&quot;},{&quot;type&quot;:&quot;image/jpeg&quot;,&quot;src&quot;:&quot;https://substack-post-media.s3.amazonaws.com/public/images/658c15ff-30c0-4594-88d4-707ba8800457_1051x1051.jpeg&quot;}],&quot;caption&quot;:&quot;&quot;,&quot;alt&quot;:&quot;&quot;,&quot;staticGalleryImage&quot;:{&quot;type&quot;:&quot;image/png&quot;,&quot;src&quot;:&quot;https://substack-post-media.s3.amazonaws.com/public/images/d9fda08b-9d54-4fb4-b151-6f1565eccd1a_1456x720.png&quot;}},&quot;isEditorNode&quot;:true}"></div><div class="image-gallery-embed" data-attrs="{&quot;gallery&quot;:{&quot;images&quot;:[{&quot;type&quot;:&quot;image/jpeg&quot;,&quot;src&quot;:&quot;https://substack-post-media.s3.amazonaws.com/public/images/505ce79b-4e83-4b48-a4c0-6853f5ca6313_862x862.jpeg&quot;},{&quot;type&quot;:&quot;image/jpeg&quot;,&quot;src&quot;:&quot;https://substack-post-media.s3.amazonaws.com/public/images/38be2bd0-e9ff-459d-8bd5-f100a31f11cf_874x874.jpeg&quot;}],&quot;caption&quot;:&quot;&quot;,&quot;alt&quot;:&quot;&quot;,&quot;staticGalleryImage&quot;:{&quot;type&quot;:&quot;image/png&quot;,&quot;src&quot;:&quot;https://substack-post-media.s3.amazonaws.com/public/images/0aa365bb-f3f4-412a-981a-342c9a27e8a0_1456x720.png&quot;}},&quot;isEditorNode&quot;:true}"></div><p><strong>Left condylar and right parasymphyseal fractures.</strong> The left mandibular condyle is laterally angulated and displaced with respect to the left body. The left body and symphysis are displaced to the left as a result of unopposed muscle pull from an &#8220;unfavorable&#8221; right parasymphyseal fracture.</p><p>Oblique radiographs or panoramic tomography can identify most mandible fractures. CT, which is usually available in the emergency setting, has the benefit of detecting any associated facial fractures and concomitant intracranial injury. Treatment depends on the location and conformation of the fracture and can consist of either maxillomandibular fixation, with arch bars and wiring, or open surgery with miniplate fixation.</p>]]></content:encoded></item><item><title><![CDATA[Temporal bone fracture]]></title><description><![CDATA[Head and Neck]]></description><link>https://radnotes.substack.com/p/temporal-bone-fracture</link><guid isPermaLink="false">https://radnotes.substack.com/p/temporal-bone-fracture</guid><dc:creator><![CDATA[Alexander Baxter]]></dc:creator><pubDate>Thu, 14 Sep 2023 17:55:07 GMT</pubDate><enclosure url="https://substackcdn.com/image/fetch/$s_!rmkK!,f_auto,q_auto:good,fl_progressive:steep/https%3A%2F%2Fsubstack-post-media.s3.amazonaws.com%2Fpublic%2Fimages%2Fba3a04da-53a4-4654-bf1f-7d6106470f01_563x563.jpeg" length="0" type="image/jpeg"/><content:encoded><![CDATA[<p>Fractures through the mastoid and temporal bone are best described primarily by whether or not the fracture extends to the otic capsule or labyrinth, and by the fracture orientation relative to the axis of the petrous temporal bone. Temporal bone fractures can result in temporary or persistent conductive hearing loss,  sensorineural hearing loss (usually permanent), facial paralysis due to peripheral seventh-nerve palsy, bruising about the mastoid eminence (Battle sign), or periorbital ecchymosis (raccoon eyes).</p><p>Indirect findings are usually evident on noncontrast head CT and include mastoid air cell opacification, fluid within the external auditory canal and middle ear, air in the temporomandibular fossa, and intracranial air adjacent to the petrous bone. </p><p>Longitudinal fractures do not typically involve the otic capsule. Hemorrhage within the mastoid air cells and tympanic cavity results in immediate conductive hearing loss that resolves over time. Some patients will have more complicated injuries with ossicular dislocation and/or tympanic membrane disruption. In the case of ossicular dislocation, conductive hearing loss may not resolve without surgical repair. </p><p></p><div class="image-gallery-embed" data-attrs="{&quot;gallery&quot;:{&quot;images&quot;:[{&quot;type&quot;:&quot;image/jpeg&quot;,&quot;src&quot;:&quot;https://substack-post-media.s3.amazonaws.com/public/images/ba3a04da-53a4-4654-bf1f-7d6106470f01_563x563.jpeg&quot;},{&quot;type&quot;:&quot;image/jpeg&quot;,&quot;src&quot;:&quot;https://substack-post-media.s3.amazonaws.com/public/images/eb34e4d9-24d8-4422-b784-647fc67a3eed_616x616.jpeg&quot;}],&quot;caption&quot;:&quot;&quot;,&quot;alt&quot;:&quot;&quot;,&quot;staticGalleryImage&quot;:{&quot;type&quot;:&quot;image/png&quot;,&quot;src&quot;:&quot;https://substack-post-media.s3.amazonaws.com/public/images/ad3024b7-4ba7-44a1-b0eb-b3cec2f7380d_1456x720.png&quot;}},&quot;isEditorNode&quot;:true}"></div><p>Otic capsule&#8211;sparing (longitudinal) fracture. This fracture is parallel to the axis of the temporal bone and results in incudomalleolar dislocation (the normal incus and malleolus should look like an ice cream cone on axial epitympanic images; in this case the ice cream and cone are on different slices),  as well as intratympanic and mastoid hematoma. The otic capsule is intact.</p><div><hr></div><p>In contrast, fractures that disrupt the otic capsule are usually transversely oriented, and are more likely to result in immediate and irreversible sensorineural hearing loss, CSF otorrhea, and facial nerve injury.</p><p></p><div class="image-gallery-embed" data-attrs="{&quot;gallery&quot;:{&quot;images&quot;:[{&quot;type&quot;:&quot;image/jpeg&quot;,&quot;src&quot;:&quot;https://substack-post-media.s3.amazonaws.com/public/images/e9b62b89-1b44-4744-a199-ed474ac90a76_1078x1078.jpeg&quot;},{&quot;type&quot;:&quot;image/jpeg&quot;,&quot;src&quot;:&quot;https://substack-post-media.s3.amazonaws.com/public/images/75c441d0-a454-4f5b-b737-011a4d35f847_942x942.jpeg&quot;}],&quot;caption&quot;:&quot;&quot;,&quot;alt&quot;:&quot;&quot;,&quot;staticGalleryImage&quot;:{&quot;type&quot;:&quot;image/png&quot;,&quot;src&quot;:&quot;https://substack-post-media.s3.amazonaws.com/public/images/e523b200-e8d5-403e-b1d5-f72af79231d6_1456x720.png&quot;}},&quot;isEditorNode&quot;:true}"></div><p>Otic capsule&#8211;violating (transverse) fracture. The fracture is oriented perpendicular to the axis of the petrous temporal bone and crosses the vestibule, the posterior semicircular canal, and the lateral semicircular canal. The tympanic cavity and epitympanum are completely opacified.</p><p></p>]]></content:encoded></item><item><title><![CDATA[Orbital wall fractures]]></title><description><![CDATA[Head and neck]]></description><link>https://radnotes.substack.com/p/orbital-wall-fractures-c0c</link><guid isPermaLink="false">https://radnotes.substack.com/p/orbital-wall-fractures-c0c</guid><pubDate>Sat, 22 Jul 2023 11:50:10 GMT</pubDate><enclosure url="https://substackcdn.com/image/fetch/$s_!sIya!,f_auto,q_auto:good,fl_progressive:steep/https%3A%2F%2Fsubstack-post-media.s3.amazonaws.com%2Fpublic%2Fimages%2F56f46436-82de-4d13-aff1-27032a6b4a61_1273x1273.jpeg" length="0" type="image/jpeg"/><content:encoded><![CDATA[<p>Orbital wall fractures usually result from an abrupt increase in intraorbital pressure, usually when a fist or ball strikes the eye. The thin medial or inferior orbital walls break with variable degrees of orbital fat herniation, extra-ocular muscle entrapment, orbital emphysema, and intrasinus hemorrhage. These are often referred to as orbital blowout fractures.</p><p>Clinical findings in orbital floor fractures include restricted upward and lateral gaze, subcutaneous emphysema, and diminished sensation in the distribution of the infraorbital nerve (V2). Enophthalmos is usually not immediately evident, but it can be seen in unrepaired fractures after initial swelling resolves. Rarely symptomatic bradycardia can result from stretching of the infraorbital nerve (oculocardiac reflex).</p><div class="image-gallery-embed" data-attrs="{&quot;gallery&quot;:{&quot;images&quot;:[{&quot;type&quot;:&quot;image/jpeg&quot;,&quot;src&quot;:&quot;https://substack-post-media.s3.amazonaws.com/public/images/56f46436-82de-4d13-aff1-27032a6b4a61_1273x1273.jpeg&quot;},{&quot;type&quot;:&quot;image/jpeg&quot;,&quot;src&quot;:&quot;https://substack-post-media.s3.amazonaws.com/public/images/1c6261bd-0559-4a20-bfac-51d102b1eef4_958x958.jpeg&quot;}],&quot;caption&quot;:&quot;&quot;,&quot;alt&quot;:&quot;&quot;,&quot;staticGalleryImage&quot;:{&quot;type&quot;:&quot;image/png&quot;,&quot;src&quot;:&quot;https://substack-post-media.s3.amazonaws.com/public/images/e82c1c80-7d25-4808-b9dd-3599e50aaec5_1456x720.png&quot;}},&quot;isEditorNode&quot;:true}"></div><p><strong>Acute orbital floor fracture.</strong> Right orbital floor fracture with depression of the lateral orbital floor. The infraorbital canal (V2 branch) is intact. Intraorbital air and intrasinus hemorrhage.sts and </p><div><hr></div><p>While medial orbital wall (lamina papyracea) fractures often occur in conjunction with floor fractures, isolated medial wall fractures are uncommon. Most are small, of little consequence, and discovered on CT obtained for other indications long after an injury. When symptomatic, medial wall fractures are associated with orbital emphysema and potential medial rectus muscle entrapment, which can lead to diplopia on lateral gaze. </p><div class="image-gallery-embed" data-attrs="{&quot;gallery&quot;:{&quot;images&quot;:[{&quot;type&quot;:&quot;image/jpeg&quot;,&quot;src&quot;:&quot;https://substack-post-media.s3.amazonaws.com/public/images/f5fe1f51-2011-4e56-a445-d929e4923558_1060x1060.jpeg&quot;},{&quot;type&quot;:&quot;image/jpeg&quot;,&quot;src&quot;:&quot;https://substack-post-media.s3.amazonaws.com/public/images/1603ee8c-0215-496d-89db-dcb1931f0461_1078x1078.jpeg&quot;}],&quot;caption&quot;:&quot;&quot;,&quot;alt&quot;:&quot;&quot;,&quot;staticGalleryImage&quot;:{&quot;type&quot;:&quot;image/png&quot;,&quot;src&quot;:&quot;https://substack-post-media.s3.amazonaws.com/public/images/cd29617e-a75c-484b-82cd-83c2604817fb_1456x720.png&quot;}},&quot;isEditorNode&quot;:true}"></div><p><strong>Acute medial orbital wall fracture.</strong> Left posterior medial orbital wall fracture with intraorbital emphysema and fat and medial rectus herniation into the posterior ethmoid air cells. The medial rectus is tethered at the anterior margin of the fracture.</p><div><hr></div><p>Orbital roof fractures are also uncommon, and may result from direct orbital impact, or more commonly, extension from frontal and calvarial fractures in major head injury.</p><div class="image-gallery-embed" data-attrs="{&quot;gallery&quot;:{&quot;images&quot;:[{&quot;type&quot;:&quot;image/jpeg&quot;,&quot;src&quot;:&quot;https://substack-post-media.s3.amazonaws.com/public/images/284c1972-dc40-499d-8409-43b1e3032c47_1189x1189.jpeg&quot;},{&quot;type&quot;:&quot;image/jpeg&quot;,&quot;src&quot;:&quot;https://substack-post-media.s3.amazonaws.com/public/images/8e2ae7bc-31a8-4fd4-ab31-1ccc26f287fe_1220x1220.jpeg&quot;}],&quot;caption&quot;:&quot;&quot;,&quot;alt&quot;:&quot;&quot;,&quot;staticGalleryImage&quot;:{&quot;type&quot;:&quot;image/png&quot;,&quot;src&quot;:&quot;https://substack-post-media.s3.amazonaws.com/public/images/56ed55e2-bab4-4d9d-8372-5e8200d7ef1d_1456x720.png&quot;}},&quot;isEditorNode&quot;:true}"></div><p><strong>Orbital roof fracture.</strong> Left orbital roof &#8220;blow up&#8221; fracture with extension into aerated frontal sinus. Superior orbital extraconal hematoma and orbital emphysema.</p><div><hr></div><p>CT defines the area and location of the fracture as well as any fragment displacement. Orbital fat herniation, extra-ocular muscle entrapment, and infraorbital canal involvement are easily identified. Muscle entrapment is evident clinically by diplopia on horizontal or vertical gaze, and corresponding CT findings include an acute change in the angle of the muscle as it passes through the orbit or impalement of one of the muscles on a bone spicule. Intraorbital emphysema is associated with risk of infection and subperiosteal or intraorbital hematoma can result in elevated intra-orbital pressure and secondary globe ischemia or optic nerve damage.</p><p>Surgical intervention is usually indicated for severe fractures to prevent late enophthalmos and diplopia. Emergent surgical indications include symptomatic bradycardia and large orbital hematoma.</p><div class="subscription-widget-wrap-editor" data-attrs="{&quot;url&quot;:&quot;https://radnotes.substack.com/subscribe?&quot;,&quot;text&quot;:&quot;Subscribe&quot;,&quot;language&quot;:&quot;en&quot;}" data-component-name="SubscribeWidgetToDOM"><div class="subscription-widget show-subscribe"><div class="preamble"><p class="cta-caption">Thanks for reading RadNotes! Subscribe for free to receive new posts and support my work.</p></div><form class="subscription-widget-subscribe"><input type="email" class="email-input" name="email" placeholder="Type your email&#8230;" tabindex="-1"><input type="submit" class="button primary" value="Subscribe"><div class="fake-input-wrapper"><div class="fake-input"></div><div class="fake-button"></div></div></form></div></div>]]></content:encoded></item><item><title><![CDATA[Ocular injury]]></title><description><![CDATA[Head and Neck]]></description><link>https://radnotes.substack.com/p/ocular-injury-5db</link><guid isPermaLink="false">https://radnotes.substack.com/p/ocular-injury-5db</guid><pubDate>Sat, 22 Jul 2023 11:49:09 GMT</pubDate><enclosure url="https://substackcdn.com/image/fetch/$s_!YxI5!,f_auto,q_auto:good,fl_progressive:steep/https%3A%2F%2Fsubstack-post-media.s3.amazonaws.com%2Fpublic%2Fimages%2Faae793a0-095d-4cc1-9a66-4900c9262cd1_801x801.jpeg" length="0" type="image/jpeg"/><content:encoded><![CDATA[<p>Direct ocular trauma in which the sclera is disrupted and vitreous humor leaks into the adjacent orbital tissue defines an open globe injury. Globe rupture may follow either blunt or penetrating trauma. In blunt trauma, it frequently occurs at intraocular muscle insertions, where the sclera is thinnest.</p><p>Although ophthalmoscopy is more sensitive for detection of small ruptures, periorbital soft tissue swelling can limit direct clinical evaluation, and globe rupture is often identified on CT obtained for face or head injury. The ruptured globe may appear small and irregular, or can have a flattened contour reminiscent of a &#8220;mushroom&#8221; or &#8220;flat tire.&#8221;</p><div class="image-gallery-embed" data-attrs="{&quot;gallery&quot;:{&quot;images&quot;:[{&quot;type&quot;:&quot;image/jpeg&quot;,&quot;src&quot;:&quot;https://substack-post-media.s3.amazonaws.com/public/images/aae793a0-095d-4cc1-9a66-4900c9262cd1_801x801.jpeg&quot;},{&quot;type&quot;:&quot;image/jpeg&quot;,&quot;src&quot;:&quot;https://substack-post-media.s3.amazonaws.com/public/images/cdb5e84a-a4d9-4dd4-8202-72744bf0f9c3_857x857.jpeg&quot;}],&quot;caption&quot;:&quot;&quot;,&quot;alt&quot;:&quot;&quot;,&quot;staticGalleryImage&quot;:{&quot;type&quot;:&quot;image/png&quot;,&quot;src&quot;:&quot;https://substack-post-media.s3.amazonaws.com/public/images/b0ad0dfd-897e-4323-b8af-53d5fcb43282_1456x720.png&quot;}},&quot;isEditorNode&quot;:true}"></div><p><strong>Globe rupture.</strong> Extensive right-sided preseptal periorbital hematoma. The right globe is distorted with a mushroom-like appearance. In the image on the right, a tiny linear density superolateral to the anterior globe is an extruded intraocular lens implant.</p><p>Some globe ruptures are inapparent on CT. In patients with an apparently intact globe, unilateral posterior lens subluxation (deep anterior chamber) or thickening of the posterior sclera are subtle signs of globe injury. More obvious CT findings include scleral discontinuity, intraocular air or hemorrhage, lens subluxation, intraocu- lar foreign bodies, and traumatic cataract.</p><div class="image-gallery-embed" data-attrs="{&quot;gallery&quot;:{&quot;images&quot;:[{&quot;type&quot;:&quot;image/jpeg&quot;,&quot;src&quot;:&quot;https://substack-post-media.s3.amazonaws.com/public/images/eb0c2fd1-81be-4826-9fbb-f6c237628837_470x470.jpeg&quot;},{&quot;type&quot;:&quot;image/jpeg&quot;,&quot;src&quot;:&quot;https://substack-post-media.s3.amazonaws.com/public/images/f3f2a23b-de30-4fab-8589-3c41aa7b7e11_1061x1061.jpeg&quot;}],&quot;caption&quot;:&quot;&quot;,&quot;alt&quot;:&quot;&quot;,&quot;staticGalleryImage&quot;:{&quot;type&quot;:&quot;image/png&quot;,&quot;src&quot;:&quot;https://substack-post-media.s3.amazonaws.com/public/images/7a45d04c-30bf-4eaf-a256-6d88ce441970_1456x720.png&quot;}},&quot;isEditorNode&quot;:true}"></div><p><strong>Globe rupture.</strong> The image on the left shows left globe posterior flattening and reduced volume. The lens is displaced from its normal position. The image on the right shows vitreous hemorrhage from drill-bit perforation with anterior globe flattening, and posterior vitreous versus choroidal hemorrhage.</p><div><hr></div><p>Any traumatic orbital hematoma, and retrobulbar hematomas in particular, can injure the optic nerve as a result of increased intra-orbital pressure. The clinical presentation is variable, and symptoms related to hematoma formation may not manifest until several days after the acute injury.</p><div class="image-gallery-embed" data-attrs="{&quot;gallery&quot;:{&quot;images&quot;:[{&quot;type&quot;:&quot;image/jpeg&quot;,&quot;src&quot;:&quot;https://substack-post-media.s3.amazonaws.com/public/images/f8ad1dc2-d184-41ed-a6f3-893c6e9c618d_757x757.jpeg&quot;},{&quot;type&quot;:&quot;image/jpeg&quot;,&quot;src&quot;:&quot;https://substack-post-media.s3.amazonaws.com/public/images/62619aed-31bf-41d8-b575-15e4a0365ba7_546x546.jpeg&quot;}],&quot;caption&quot;:&quot;&quot;,&quot;alt&quot;:&quot;&quot;,&quot;staticGalleryImage&quot;:{&quot;type&quot;:&quot;image/png&quot;,&quot;src&quot;:&quot;https://substack-post-media.s3.amazonaws.com/public/images/a097b43c-586a-4faf-8fd8-0ac78b58dc8a_1456x720.png&quot;}},&quot;isEditorNode&quot;:true}"></div><p><strong>Intraorbital hematoma.</strong> Right intraconal and retrobulbar soft tissue stranding with associated mild proptosis. Normal globe dimensions.</p><div><hr></div><p>CT identifies proptosis, stretching of the optic nerve, and &#8220;globe tenting,&#8221; in which the angle made by two tangents to the globe that intersect at the optic nerve head is less than 130&#176;. While orbital hemorrhage and hematoma are uncommon, traumatic orbital compartment syndrome can lead to vision loss; in such cases prompt lateral canthotomy and cantholysis may prevent blindness.</p><div class="captioned-image-container"><figure><a class="image-link image2 is-viewable-img" target="_blank" href="https://substackcdn.com/image/fetch/$s_!p-9q!,f_auto,q_auto:good,fl_progressive:steep/https%3A%2F%2Fsubstack-post-media.s3.amazonaws.com%2Fpublic%2Fimages%2F051fd397-f9b0-4af7-9c2b-9948340c5f6f_1904x1088.png" data-component-name="Image2ToDOM"><div class="image2-inset"><picture><source type="image/webp" srcset="https://substackcdn.com/image/fetch/$s_!p-9q!,w_424,c_limit,f_webp,q_auto:good,fl_progressive:steep/https%3A%2F%2Fsubstack-post-media.s3.amazonaws.com%2Fpublic%2Fimages%2F051fd397-f9b0-4af7-9c2b-9948340c5f6f_1904x1088.png 424w, https://substackcdn.com/image/fetch/$s_!p-9q!,w_848,c_limit,f_webp,q_auto:good,fl_progressive:steep/https%3A%2F%2Fsubstack-post-media.s3.amazonaws.com%2Fpublic%2Fimages%2F051fd397-f9b0-4af7-9c2b-9948340c5f6f_1904x1088.png 848w, https://substackcdn.com/image/fetch/$s_!p-9q!,w_1272,c_limit,f_webp,q_auto:good,fl_progressive:steep/https%3A%2F%2Fsubstack-post-media.s3.amazonaws.com%2Fpublic%2Fimages%2F051fd397-f9b0-4af7-9c2b-9948340c5f6f_1904x1088.png 1272w, https://substackcdn.com/image/fetch/$s_!p-9q!,w_1456,c_limit,f_webp,q_auto:good,fl_progressive:steep/https%3A%2F%2Fsubstack-post-media.s3.amazonaws.com%2Fpublic%2Fimages%2F051fd397-f9b0-4af7-9c2b-9948340c5f6f_1904x1088.png 1456w" sizes="100vw"><img src="https://substackcdn.com/image/fetch/$s_!p-9q!,w_1456,c_limit,f_auto,q_auto:good,fl_progressive:steep/https%3A%2F%2Fsubstack-post-media.s3.amazonaws.com%2Fpublic%2Fimages%2F051fd397-f9b0-4af7-9c2b-9948340c5f6f_1904x1088.png" width="1456" height="832" data-attrs="{&quot;src&quot;:&quot;https://substack-post-media.s3.amazonaws.com/public/images/051fd397-f9b0-4af7-9c2b-9948340c5f6f_1904x1088.png&quot;,&quot;srcNoWatermark&quot;:null,&quot;fullscreen&quot;:null,&quot;imageSize&quot;:null,&quot;height&quot;:832,&quot;width&quot;:1456,&quot;resizeWidth&quot;:null,&quot;bytes&quot;:449599,&quot;alt&quot;:null,&quot;title&quot;:null,&quot;type&quot;:&quot;image/png&quot;,&quot;href&quot;:null,&quot;belowTheFold&quot;:true,&quot;topImage&quot;:false,&quot;internalRedirect&quot;:null,&quot;isProcessing&quot;:false,&quot;align&quot;:null,&quot;offset&quot;:false}" class="sizing-normal" alt="" srcset="https://substackcdn.com/image/fetch/$s_!p-9q!,w_424,c_limit,f_auto,q_auto:good,fl_progressive:steep/https%3A%2F%2Fsubstack-post-media.s3.amazonaws.com%2Fpublic%2Fimages%2F051fd397-f9b0-4af7-9c2b-9948340c5f6f_1904x1088.png 424w, https://substackcdn.com/image/fetch/$s_!p-9q!,w_848,c_limit,f_auto,q_auto:good,fl_progressive:steep/https%3A%2F%2Fsubstack-post-media.s3.amazonaws.com%2Fpublic%2Fimages%2F051fd397-f9b0-4af7-9c2b-9948340c5f6f_1904x1088.png 848w, https://substackcdn.com/image/fetch/$s_!p-9q!,w_1272,c_limit,f_auto,q_auto:good,fl_progressive:steep/https%3A%2F%2Fsubstack-post-media.s3.amazonaws.com%2Fpublic%2Fimages%2F051fd397-f9b0-4af7-9c2b-9948340c5f6f_1904x1088.png 1272w, https://substackcdn.com/image/fetch/$s_!p-9q!,w_1456,c_limit,f_auto,q_auto:good,fl_progressive:steep/https%3A%2F%2Fsubstack-post-media.s3.amazonaws.com%2Fpublic%2Fimages%2F051fd397-f9b0-4af7-9c2b-9948340c5f6f_1904x1088.png 1456w" sizes="100vw" loading="lazy"></picture><div class="image-link-expand"><div class="pencraft pc-display-flex pc-gap-8 pc-reset"><button tabindex="0" type="button" class="pencraft pc-reset pencraft icon-container restack-image"><svg role="img" width="20" height="20" viewBox="0 0 20 20" fill="none" stroke-width="1.5" stroke="var(--color-fg-primary)" stroke-linecap="round" stroke-linejoin="round" xmlns="http://www.w3.org/2000/svg"><g><title></title><path d="M2.53001 7.81595C3.49179 4.73911 6.43281 2.5 9.91173 2.5C13.1684 2.5 15.9537 4.46214 17.0852 7.23684L17.6179 8.67647M17.6179 8.67647L18.5002 4.26471M17.6179 8.67647L13.6473 6.91176M17.4995 12.1841C16.5378 15.2609 13.5967 17.5 10.1178 17.5C6.86118 17.5 4.07589 15.5379 2.94432 12.7632L2.41165 11.3235M2.41165 11.3235L1.5293 15.7353M2.41165 11.3235L6.38224 13.0882"></path></g></svg></button><button tabindex="0" type="button" class="pencraft pc-reset pencraft icon-container view-image"><svg xmlns="http://www.w3.org/2000/svg" width="20" height="20" viewBox="0 0 24 24" fill="none" stroke="currentColor" stroke-width="2" stroke-linecap="round" stroke-linejoin="round" class="lucide lucide-maximize2 lucide-maximize-2"><polyline points="15 3 21 3 21 9"></polyline><polyline points="9 21 3 21 3 15"></polyline><line x1="21" x2="14" y1="3" y2="10"></line><line x1="3" x2="10" y1="21" y2="14"></line></svg></button></div></div></div></a></figure></div><h6>From: Globe tenting: a sign of increased orbital tension. R W Dalley, W D Robertson and J Rootman. AJNR Am J Neuroradiol 1989, 10 (1) 181-186</h6><p></p><p class="button-wrapper" data-attrs="{&quot;url&quot;:&quot;https://radnotes.substack.com/?utm_source=substack&amp;utm_medium=email&amp;utm_content=share&amp;action=share&quot;,&quot;text&quot;:&quot;Share RadNotes&quot;,&quot;action&quot;:null,&quot;class&quot;:null}" data-component-name="ButtonCreateButton"><a class="button primary" href="https://radnotes.substack.com/?utm_source=substack&amp;utm_medium=email&amp;utm_content=share&amp;action=share"><span>Share RadNotes</span></a></p><p class="button-wrapper" data-attrs="{&quot;url&quot;:&quot;https://radnotes.substack.com/subscribe?&quot;,&quot;text&quot;:&quot;Subscribe now&quot;,&quot;action&quot;:null,&quot;class&quot;:null}" data-component-name="ButtonCreateButton"><a class="button primary" href="https://radnotes.substack.com/subscribe?"><span>Subscribe now</span></a></p><p></p>]]></content:encoded></item><item><title><![CDATA[Midface smash injury]]></title><description><![CDATA[Head and Neck]]></description><link>https://radnotes.substack.com/p/midface-smash-injury-d14</link><guid isPermaLink="false">https://radnotes.substack.com/p/midface-smash-injury-d14</guid><pubDate>Sat, 22 Jul 2023 11:40:19 GMT</pubDate><enclosure url="https://substackcdn.com/image/fetch/$s_!vg9-!,f_auto,q_auto:good,fl_progressive:steep/https%3A%2F%2Fsubstack-post-media.s3.amazonaws.com%2Fpublic%2Fimages%2F31736c50-ccf5-4304-a4fc-ca050b01776d_1076x1076.jpeg" length="0" type="image/jpeg"/><content:encoded><![CDATA[<p>Midface smash injury is a general term for any severely comminuted, high-energy impact, facial fracture pattern that is not easily categorized as a Le Fort, zygomaticomaxilary complex, or naso-orbito-ethmoid fracture. They can be loosely classified based on the their location as frontal, nasofrontal, or central, but these categories typically overlap.</p><p>Frontal midface smash injuries are characterized by disruption of the frontal sinus; nasofrontal injuries involve the orbits, orbital apices, and ethmoidal roof, and central smash injuries involve the orbits, maxilla, and mandible.</p><p>CT shows extensive facial bone comminution, often with posterior fragment displacement. Nonosseous structures that can be injured include upper cranial nerves, globes, extraocular muscles, nasolacrimal ducts, and sinuses.</p><div><hr></div><div class="image-gallery-embed" data-attrs="{&quot;gallery&quot;:{&quot;images&quot;:[{&quot;type&quot;:&quot;image/jpeg&quot;,&quot;src&quot;:&quot;https://substack-post-media.s3.amazonaws.com/public/images/31736c50-ccf5-4304-a4fc-ca050b01776d_1076x1076.jpeg&quot;},{&quot;type&quot;:&quot;image/jpeg&quot;,&quot;src&quot;:&quot;https://substack-post-media.s3.amazonaws.com/public/images/c56c08b4-8fde-4740-8c2e-56d9a8fa4ce3_902x902.jpeg&quot;}],&quot;caption&quot;:&quot;&quot;,&quot;alt&quot;:&quot;&quot;,&quot;staticGalleryImage&quot;:{&quot;type&quot;:&quot;image/png&quot;,&quot;src&quot;:&quot;https://substack-post-media.s3.amazonaws.com/public/images/c4918346-376a-40fa-b7a9-3172f5116d15_1456x720.png&quot;}},&quot;isEditorNode&quot;:true}"></div><p><strong>Frontal type midface smash.</strong> Severely comminuted fracture, predominantly involving the frontal sinus, but with associated orbital wall and maxillary fractures.</p><div><hr></div><div class="image-gallery-embed" data-attrs="{&quot;gallery&quot;:{&quot;images&quot;:[{&quot;type&quot;:&quot;image/jpeg&quot;,&quot;src&quot;:&quot;https://substack-post-media.s3.amazonaws.com/public/images/bd624de6-43c2-4fea-b90a-252e767266be_965x965.jpeg&quot;},{&quot;type&quot;:&quot;image/jpeg&quot;,&quot;src&quot;:&quot;https://substack-post-media.s3.amazonaws.com/public/images/d1d8be9a-25a5-4fb8-baad-80d3086b44ad_775x775.jpeg&quot;}],&quot;caption&quot;:&quot;&quot;,&quot;alt&quot;:&quot;&quot;,&quot;staticGalleryImage&quot;:{&quot;type&quot;:&quot;image/png&quot;,&quot;src&quot;:&quot;https://substack-post-media.s3.amazonaws.com/public/images/287986bb-19af-4e7b-9eda-c8a03ffd2e49_1456x720.png&quot;}},&quot;isEditorNode&quot;:true}"></div><p><strong>Nasofrontal type. </strong>Comminuted nasal bone, orbital roof, orbital floor, and frontal bone fractures. Bilateral superior orbital extraconal hematomas. Extensive soft tissue emphysema.</p><div><hr></div><p></p><div class="image-gallery-embed" data-attrs="{&quot;gallery&quot;:{&quot;images&quot;:[{&quot;type&quot;:&quot;image/jpeg&quot;,&quot;src&quot;:&quot;https://substack-post-media.s3.amazonaws.com/public/images/53b9f0c3-0cf6-4dce-b413-f345981096e4_1231x1231.jpeg&quot;},{&quot;type&quot;:&quot;image/jpeg&quot;,&quot;src&quot;:&quot;https://substack-post-media.s3.amazonaws.com/public/images/e39b5e4c-08f0-496c-b1e1-ed026ad1f387_1022x1022.jpeg&quot;}],&quot;caption&quot;:&quot;&quot;,&quot;alt&quot;:&quot;&quot;,&quot;staticGalleryImage&quot;:{&quot;type&quot;:&quot;image/png&quot;,&quot;src&quot;:&quot;https://substack-post-media.s3.amazonaws.com/public/images/2e420264-26a2-4379-985d-203a9425a80f_1456x720.png&quot;}},&quot;isEditorNode&quot;:true}"></div><p><strong>Central smash type. </strong>Nasal, maxillary, and lateral orbital wall fractures.</p><div class="subscription-widget-wrap-editor" data-attrs="{&quot;url&quot;:&quot;https://radnotes.substack.com/subscribe?&quot;,&quot;text&quot;:&quot;Subscribe&quot;,&quot;language&quot;:&quot;en&quot;}" data-component-name="SubscribeWidgetToDOM"><div class="subscription-widget show-subscribe"><div class="preamble"><p class="cta-caption">Thanks for reading RadNotes! Subscribe for free to receive new posts and support my work.</p></div><form class="subscription-widget-subscribe"><input type="email" class="email-input" name="email" placeholder="Type your email&#8230;" tabindex="-1"><input type="submit" class="button primary" value="Subscribe"><div class="fake-input-wrapper"><div class="fake-input"></div><div class="fake-button"></div></div></form></div></div>]]></content:encoded></item><item><title><![CDATA[Le Fort Fractures]]></title><description><![CDATA[Head and Neck]]></description><link>https://radnotes.substack.com/p/le-fort-fractures-3ca</link><guid isPermaLink="false">https://radnotes.substack.com/p/le-fort-fractures-3ca</guid><pubDate>Wed, 19 Jul 2023 01:34:59 GMT</pubDate><enclosure url="https://substackcdn.com/image/fetch/$s_!8tbL!,f_auto,q_auto:good,fl_progressive:steep/https%3A%2F%2Fsubstack-post-media.s3.amazonaws.com%2Fpublic%2Fimages%2F9071f9b9-b230-46b1-b97a-fba3b0e84ed2_936x936.jpeg" length="0" type="image/jpeg"/><content:encoded><![CDATA[<p></p><p>All Le Fort fractures involve the pterygoid plates, and separate a portion of the midface from the cranium. Le Fort I, II, and III patterns often occur in combination and can overlap with other complex fracture patterns such as midface smash, naso-orbito-ethmoid fracture, and <a href="https://alexanderbaxter.substack.com/p/zygomaticomaxillary-complex-fracture">Zygomaticomaxillary complex fractures</a>.</p><div class="image-gallery-embed" data-attrs="{&quot;gallery&quot;:{&quot;images&quot;:[{&quot;type&quot;:&quot;image/jpeg&quot;,&quot;src&quot;:&quot;https://substack-post-media.s3.amazonaws.com/public/images/9071f9b9-b230-46b1-b97a-fba3b0e84ed2_936x936.jpeg&quot;},{&quot;type&quot;:&quot;image/jpeg&quot;,&quot;src&quot;:&quot;https://substack-post-media.s3.amazonaws.com/public/images/6303edd8-28a1-4442-bab8-e32adae94706_960x960.jpeg&quot;}],&quot;caption&quot;:&quot;&quot;,&quot;alt&quot;:&quot;&quot;,&quot;staticGalleryImage&quot;:{&quot;type&quot;:&quot;image/png&quot;,&quot;src&quot;:&quot;https://substack-post-media.s3.amazonaws.com/public/images/11d6f0ca-39ce-4fc4-abf6-462e81a3675e_1456x720.png&quot;}},&quot;isEditorNode&quot;:true}"></div><p><strong>Le Fort I, II, and III patterns. </strong></p><div><hr></div><p>The Le Fort I fracture is a horizontal maxillary fracture that traverses the pterygoid plates, inferior maxillary sinus, and nasal septum, separating the maxillary alveolus from the upper face. This injury can often be diagnosed on physical exam based on isolated mobility of the hard palate (&#8220;floating palate&#8221;). Le Fort I fractures always involve the inferior maxillary sinus walls and do not extend to the orbits or upper nasal bones.</p><div class="image-gallery-embed" data-attrs="{&quot;gallery&quot;:{&quot;images&quot;:[{&quot;type&quot;:&quot;image/jpeg&quot;,&quot;src&quot;:&quot;https://substack-post-media.s3.amazonaws.com/public/images/1964b354-34d8-4148-94de-0b8ef3b067ba_1063x1063.jpeg&quot;},{&quot;type&quot;:&quot;image/jpeg&quot;,&quot;src&quot;:&quot;https://substack-post-media.s3.amazonaws.com/public/images/d1f630e2-66fc-4f44-b452-26eb7d561b6f_1312x1312.jpeg&quot;}],&quot;caption&quot;:&quot;&quot;,&quot;alt&quot;:&quot;&quot;,&quot;staticGalleryImage&quot;:{&quot;type&quot;:&quot;image/png&quot;,&quot;src&quot;:&quot;https://substack-post-media.s3.amazonaws.com/public/images/c3ccafcd-4646-44b1-9c45-9ba1ef836487_1456x720.png&quot;}},&quot;isEditorNode&quot;:true}"></div><p><strong>Le Fort I fracture.</strong> A transverse fracture of the maxilla extends to the inferior maxillary sinuses and nasal septum.  An additional fracture of the left orbital rim is present. The orbits and upper maxillae are otherwise intact.</p><div><hr></div><p>Le Fort II fractures are pyramidal midface fractures that involve the maxillary antra and inferior orbital rims, intersecting at the glabella. The fracture follows an oblique course from the bridge of the nose to the pterygoid plates and separates the maxilla, anterior nasal bones, and anterior orbital floor and rim from the remainder of the skull. Le Fort II fractures do not involve the lateral orbital walls or zygomatic arches. The absence of an infraorbital rim fracture excludes a Le Fort II injury.</p><div class="image-gallery-embed" data-attrs="{&quot;gallery&quot;:{&quot;images&quot;:[{&quot;type&quot;:&quot;image/jpeg&quot;,&quot;src&quot;:&quot;https://substack-post-media.s3.amazonaws.com/public/images/83f830dc-9b23-46a6-8044-f727ecad1d33_1066x1066.jpeg&quot;},{&quot;type&quot;:&quot;image/jpeg&quot;,&quot;src&quot;:&quot;https://substack-post-media.s3.amazonaws.com/public/images/653e960a-4361-4abc-b1cc-973ad6dd5448_954x980.jpeg&quot;}],&quot;caption&quot;:&quot;&quot;,&quot;alt&quot;:&quot;&quot;,&quot;staticGalleryImage&quot;:{&quot;type&quot;:&quot;image/png&quot;,&quot;src&quot;:&quot;https://substack-post-media.s3.amazonaws.com/public/images/47e4effd-3d40-43c6-878d-586c8df51e28_1456x720.png&quot;}},&quot;isEditorNode&quot;:true}"></div><p><strong>Le Fort II fracture. </strong>This Pyramidal fracture involves the inferior orbital rims, anterior maxillary sinus walls, and nasal bridge.</p><div><hr></div><p>Le Fort III fractures separate the entire midface from the cranium. The fracture passes horizontally and posteriorly through the nasofrontal suture, frontomaxillary suture, lateral orbital wall, zygomatic arches, and pterygoid plates. Zygomatic arch fracture, best visualized on axial CT images, is unique to a Le Fort III fracture, and its absence excludes the diagnosis.</p><div class="image-gallery-embed" data-attrs="{&quot;gallery&quot;:{&quot;images&quot;:[{&quot;type&quot;:&quot;image/jpeg&quot;,&quot;src&quot;:&quot;https://substack-post-media.s3.amazonaws.com/public/images/cee46f61-d1a6-4a6d-8d51-773cfc272fa8_959x959.jpeg&quot;},{&quot;type&quot;:&quot;image/jpeg&quot;,&quot;src&quot;:&quot;https://substack-post-media.s3.amazonaws.com/public/images/0c2eb85f-8173-4d13-b496-bb20ccb67581_1033x1033.jpeg&quot;}],&quot;caption&quot;:&quot;&quot;,&quot;alt&quot;:&quot;&quot;,&quot;staticGalleryImage&quot;:{&quot;type&quot;:&quot;image/png&quot;,&quot;src&quot;:&quot;https://substack-post-media.s3.amazonaws.com/public/images/1be8c45f-d1c8-48bb-8166-6c4df43e5005_1456x720.png&quot;}},&quot;isEditorNode&quot;:true}"></div><p><strong>Le Fort III fracture.</strong> Severely comminuted bilateral pterygoid, orbital wall, and zygomatic arch fractures. Extensive orbital emphysema. Severe comminution reflects overlap with midface smash pattern.</p><p></p><div class="subscription-widget-wrap-editor" data-attrs="{&quot;url&quot;:&quot;https://radnotes.substack.com/subscribe?&quot;,&quot;text&quot;:&quot;Subscribe&quot;,&quot;language&quot;:&quot;en&quot;}" data-component-name="SubscribeWidgetToDOM"><div class="subscription-widget show-subscribe"><div class="preamble"><p class="cta-caption">Thanks for reading RadNotes! Subscribe for free to receive new posts and support my work.</p></div><form class="subscription-widget-subscribe"><input type="email" class="email-input" name="email" placeholder="Type your email&#8230;" tabindex="-1"><input type="submit" class="button primary" value="Subscribe"><div class="fake-input-wrapper"><div class="fake-input"></div><div class="fake-button"></div></div></form></div></div><div class="captioned-button-wrap" data-attrs="{&quot;url&quot;:&quot;https://radnotes.substack.com/p/le-fort-fractures-3ca?utm_source=substack&utm_medium=email&utm_content=share&action=share&quot;,&quot;text&quot;:&quot;Share&quot;}" data-component-name="CaptionedButtonToDOM"><div class="preamble"><p class="cta-caption">Thank you for reading RadNotes. This post is public so feel free to share it.</p></div><p class="button-wrapper" data-attrs="{&quot;url&quot;:&quot;https://radnotes.substack.com/p/le-fort-fractures-3ca?utm_source=substack&utm_medium=email&utm_content=share&action=share&quot;,&quot;text&quot;:&quot;Share&quot;}" data-component-name="ButtonCreateButton"><a class="button primary" href="https://radnotes.substack.com/p/le-fort-fractures-3ca?utm_source=substack&utm_medium=email&utm_content=share&action=share"><span>Share</span></a></p></div>]]></content:encoded></item><item><title><![CDATA[Zygomaticomaxillary Complex Fracture]]></title><description><![CDATA[Head and Neck]]></description><link>https://radnotes.substack.com/p/zygomaticomaxillary-complex-fracture-758</link><guid isPermaLink="false">https://radnotes.substack.com/p/zygomaticomaxillary-complex-fracture-758</guid><pubDate>Tue, 18 Jul 2023 14:06:38 GMT</pubDate><enclosure url="https://substackcdn.com/image/fetch/$s_!hIs5!,f_auto,q_auto:good,fl_progressive:steep/https%3A%2F%2Fsubstack-post-media.s3.amazonaws.com%2Fpublic%2Fimages%2F5bba33cf-4e97-4417-8952-774b8bba94c3_1171x1171.jpeg" length="0" type="image/jpeg"/><content:encoded><![CDATA[<p>The zygomaticomaxillary complex (ZMC) fracture results from a direct blow to the cheek and is characterized by fractures of the:</p><ul><li><p>Zygomatic arch</p></li><li><p>Lateral orbital wall or diastasis of the zygomaticofrontal suture</p></li><li><p>Orbital rim and floor</p></li><li><p>Anterior or posterolateral maxillary sinus wall</p><div><hr></div></li></ul><p>A ZMC fracture effectively separates a malar fragment from the rest of the facial skeleton. This fragment can be rotated or depressed. The pterygoid plates are not involved, which distinguishes ZMC fractures from Le Fort fractures. </p><div class="image-gallery-embed" data-attrs="{&quot;gallery&quot;:{&quot;images&quot;:[{&quot;type&quot;:&quot;image/jpeg&quot;,&quot;src&quot;:&quot;https://substack-post-media.s3.amazonaws.com/public/images/5bba33cf-4e97-4417-8952-774b8bba94c3_1171x1171.jpeg&quot;},{&quot;type&quot;:&quot;image/jpeg&quot;,&quot;src&quot;:&quot;https://substack-post-media.s3.amazonaws.com/public/images/37d44e42-2d80-4aa5-ba15-de2c26f873dc_1016x1016.jpeg&quot;}],&quot;caption&quot;:&quot;&quot;,&quot;alt&quot;:&quot;&quot;,&quot;staticGalleryImage&quot;:{&quot;type&quot;:&quot;image/png&quot;,&quot;src&quot;:&quot;https://substack-post-media.s3.amazonaws.com/public/images/cfdcc07a-45d2-4434-9e5a-160fcef4a014_1456x720.png&quot;}},&quot;isEditorNode&quot;:true}"></div><p><strong>Zygomaticomaxillary complex fracture.</strong> Minimally displaced right zygomatic arch, anterior and posterolateral maxillary sinus wall, orbital rim, and orbital floor fractures. Right zygomaticofrontal suture diastasis.</p><div><hr></div><div class="image-gallery-embed" data-attrs="{&quot;gallery&quot;:{&quot;images&quot;:[{&quot;type&quot;:&quot;image/jpeg&quot;,&quot;src&quot;:&quot;https://substack-post-media.s3.amazonaws.com/public/images/c26eb21a-afe4-4cea-802a-e339aa456775_998x998.jpeg&quot;},{&quot;type&quot;:&quot;image/jpeg&quot;,&quot;src&quot;:&quot;https://substack-post-media.s3.amazonaws.com/public/images/e39bfd15-81d6-4414-812b-d5bb875b8a16_996x996.jpeg&quot;},{&quot;type&quot;:&quot;image/jpeg&quot;,&quot;src&quot;:&quot;https://substack-post-media.s3.amazonaws.com/public/images/422b7189-335a-4243-9a2b-867b04e78226_1181x1181.jpeg&quot;},{&quot;type&quot;:&quot;image/jpeg&quot;,&quot;src&quot;:&quot;https://substack-post-media.s3.amazonaws.com/public/images/a30a0bb6-0d01-41f4-8073-a6c9c9501020_613x613.jpeg&quot;}],&quot;caption&quot;:&quot;&quot;,&quot;alt&quot;:&quot;&quot;,&quot;staticGalleryImage&quot;:{&quot;type&quot;:&quot;image/png&quot;,&quot;src&quot;:&quot;https://substack-post-media.s3.amazonaws.com/public/images/dbb53eef-e465-4074-a499-b4c291249d04_1456x1456.png&quot;}},&quot;isEditorNode&quot;:true}"></div><p><strong>Zygomaticomaxillary complex fracture.</strong> Posterior displacement of the malar fragment with soft tissue emphysema. Right zygomatic arch, anterior and posterolateral maxillary sinus wall, orbital rim, and orbital floor fractures. Right zygomaticofrontal suture diastasis. 3D reconstruction shows the malar fragment.</p><div><hr></div><p>Clinical findings include a palpable step-off at the inferior orbital rim or zygoma, subcutaneous emphysema, and hyperesthesia or anesthesia over the cheek in the distribution of the maxillary nerve (CN V2). Diplopia on upward gaze may be due to orbital edema or impingement of the inferior rectus muscle by an orbital floor bone fragment. Pain with mastication can be due to&nbsp; mandibular coranoid process and temporalis muscle impingement.</p><p>CT with multiplanar reformations locates the fracture components, the degree of malar fragment displacement and rotation, and any associated soft tissue or ocular injuries. As in all facial fractures, the infraorbital canal, orbital contents, nasolacrimal duct, and medial canthal ligament attachment should be specifically assessed.</p><div class="subscription-widget-wrap-editor" data-attrs="{&quot;url&quot;:&quot;https://radnotes.substack.com/subscribe?&quot;,&quot;text&quot;:&quot;Subscribe&quot;,&quot;language&quot;:&quot;en&quot;}" data-component-name="SubscribeWidgetToDOM"><div class="subscription-widget show-subscribe"><div class="preamble"><p class="cta-caption">Thanks for reading RadNotes! Subscribe for free to receive new posts and support my work.</p></div><form class="subscription-widget-subscribe"><input type="email" class="email-input" name="email" placeholder="Type your email&#8230;" tabindex="-1"><input type="submit" class="button primary" value="Subscribe"><div class="fake-input-wrapper"><div class="fake-input"></div><div class="fake-button"></div></div></form></div></div><p class="button-wrapper" data-attrs="{&quot;url&quot;:&quot;https://alexanderbaxter.substack.com/?utm_source=substack&amp;utm_medium=email&amp;utm_content=share&amp;action=share&quot;,&quot;text&quot;:&quot;Share RadNotes&quot;,&quot;action&quot;:null,&quot;class&quot;:null}" data-component-name="ButtonCreateButton"><a class="button primary" href="https://alexanderbaxter.substack.com/?utm_source=substack&amp;utm_medium=email&amp;utm_content=share&amp;action=share"><span>Share RadNotes</span></a></p><p></p>]]></content:encoded></item><item><title><![CDATA[Nasal and Naso-orbito-ethmoid Fractures]]></title><description><![CDATA[Head and Neck]]></description><link>https://radnotes.substack.com/p/nasal-and-naso-orbito-ethmoid-fractures-eb1</link><guid isPermaLink="false">https://radnotes.substack.com/p/nasal-and-naso-orbito-ethmoid-fractures-eb1</guid><pubDate>Tue, 18 Jul 2023 14:01:45 GMT</pubDate><enclosure url="https://substackcdn.com/image/fetch/$s_!U9dL!,f_auto,q_auto:good,fl_progressive:steep/https%3A%2F%2Fsubstack-post-media.s3.amazonaws.com%2Fpublic%2Fimages%2F0d224259-b01b-4f1d-9b91-3a9f34d1052c_1222x1222.jpeg" length="0" type="image/jpeg"/><content:encoded><![CDATA[<p>Nasal fractures are usually evident on clinical examination. Deformity, laceration, and ecchymosis are common. Epistaxis and CSF rhinorrhea indicate potentially severe injuries to the ethmoid bones or nasal septum.</p><p>If there is clinical concern for septal fracture or adjacent facial bone injury, or if operative reduction is planned, CT scanning provides more comprehensive evaluation than plain radiographs, which are rarely helpful or indicated.</p><p>Nasal fractures often make up a part of a larger facial fracture complex in severe facial injury. Most are oriented perpendicular to the nasal bridge, cross the nasomaxillary suture, and traverse the groove for the nasociliary nerve.</p><p>Because most simple nasal bone fractures are managed conservatively, clinical examination should include a search for septal deformity or hematoma. Although not specific for fracture, nasal septal hematomas are associated with significant morbidity and may lead to septal perforation or necrosis if untreated. CT findings include fracture through the bony septum and adjacent septal soft tissue swelling.</p><p></p><div class="captioned-image-container"><figure><a class="image-link image2 is-viewable-img" target="_blank" href="https://substackcdn.com/image/fetch/$s_!U9dL!,f_auto,q_auto:good,fl_progressive:steep/https%3A%2F%2Fsubstack-post-media.s3.amazonaws.com%2Fpublic%2Fimages%2F0d224259-b01b-4f1d-9b91-3a9f34d1052c_1222x1222.jpeg" data-component-name="Image2ToDOM"><div class="image2-inset"><picture><source type="image/webp" srcset="https://substackcdn.com/image/fetch/$s_!U9dL!,w_424,c_limit,f_webp,q_auto:good,fl_progressive:steep/https%3A%2F%2Fsubstack-post-media.s3.amazonaws.com%2Fpublic%2Fimages%2F0d224259-b01b-4f1d-9b91-3a9f34d1052c_1222x1222.jpeg 424w, https://substackcdn.com/image/fetch/$s_!U9dL!,w_848,c_limit,f_webp,q_auto:good,fl_progressive:steep/https%3A%2F%2Fsubstack-post-media.s3.amazonaws.com%2Fpublic%2Fimages%2F0d224259-b01b-4f1d-9b91-3a9f34d1052c_1222x1222.jpeg 848w, https://substackcdn.com/image/fetch/$s_!U9dL!,w_1272,c_limit,f_webp,q_auto:good,fl_progressive:steep/https%3A%2F%2Fsubstack-post-media.s3.amazonaws.com%2Fpublic%2Fimages%2F0d224259-b01b-4f1d-9b91-3a9f34d1052c_1222x1222.jpeg 1272w, https://substackcdn.com/image/fetch/$s_!U9dL!,w_1456,c_limit,f_webp,q_auto:good,fl_progressive:steep/https%3A%2F%2Fsubstack-post-media.s3.amazonaws.com%2Fpublic%2Fimages%2F0d224259-b01b-4f1d-9b91-3a9f34d1052c_1222x1222.jpeg 1456w" sizes="100vw"><img src="https://substackcdn.com/image/fetch/$s_!U9dL!,w_1456,c_limit,f_auto,q_auto:good,fl_progressive:steep/https%3A%2F%2Fsubstack-post-media.s3.amazonaws.com%2Fpublic%2Fimages%2F0d224259-b01b-4f1d-9b91-3a9f34d1052c_1222x1222.jpeg" width="1222" height="1222" data-attrs="{&quot;src&quot;:&quot;https://substack-post-media.s3.amazonaws.com/public/images/0d224259-b01b-4f1d-9b91-3a9f34d1052c_1222x1222.jpeg&quot;,&quot;srcNoWatermark&quot;:null,&quot;fullscreen&quot;:null,&quot;imageSize&quot;:null,&quot;height&quot;:1222,&quot;width&quot;:1222,&quot;resizeWidth&quot;:null,&quot;bytes&quot;:231819,&quot;alt&quot;:null,&quot;title&quot;:null,&quot;type&quot;:&quot;image/jpeg&quot;,&quot;href&quot;:null,&quot;belowTheFold&quot;:false,&quot;topImage&quot;:true,&quot;internalRedirect&quot;:null,&quot;isProcessing&quot;:false,&quot;align&quot;:null,&quot;offset&quot;:false}" class="sizing-normal" alt="" srcset="https://substackcdn.com/image/fetch/$s_!U9dL!,w_424,c_limit,f_auto,q_auto:good,fl_progressive:steep/https%3A%2F%2Fsubstack-post-media.s3.amazonaws.com%2Fpublic%2Fimages%2F0d224259-b01b-4f1d-9b91-3a9f34d1052c_1222x1222.jpeg 424w, https://substackcdn.com/image/fetch/$s_!U9dL!,w_848,c_limit,f_auto,q_auto:good,fl_progressive:steep/https%3A%2F%2Fsubstack-post-media.s3.amazonaws.com%2Fpublic%2Fimages%2F0d224259-b01b-4f1d-9b91-3a9f34d1052c_1222x1222.jpeg 848w, https://substackcdn.com/image/fetch/$s_!U9dL!,w_1272,c_limit,f_auto,q_auto:good,fl_progressive:steep/https%3A%2F%2Fsubstack-post-media.s3.amazonaws.com%2Fpublic%2Fimages%2F0d224259-b01b-4f1d-9b91-3a9f34d1052c_1222x1222.jpeg 1272w, https://substackcdn.com/image/fetch/$s_!U9dL!,w_1456,c_limit,f_auto,q_auto:good,fl_progressive:steep/https%3A%2F%2Fsubstack-post-media.s3.amazonaws.com%2Fpublic%2Fimages%2F0d224259-b01b-4f1d-9b91-3a9f34d1052c_1222x1222.jpeg 1456w" sizes="100vw" fetchpriority="high"></picture><div class="image-link-expand"><div class="pencraft pc-display-flex pc-gap-8 pc-reset"><button tabindex="0" type="button" class="pencraft pc-reset pencraft icon-container restack-image"><svg role="img" width="20" height="20" viewBox="0 0 20 20" fill="none" stroke-width="1.5" stroke="var(--color-fg-primary)" stroke-linecap="round" stroke-linejoin="round" xmlns="http://www.w3.org/2000/svg"><g><title></title><path d="M2.53001 7.81595C3.49179 4.73911 6.43281 2.5 9.91173 2.5C13.1684 2.5 15.9537 4.46214 17.0852 7.23684L17.6179 8.67647M17.6179 8.67647L18.5002 4.26471M17.6179 8.67647L13.6473 6.91176M17.4995 12.1841C16.5378 15.2609 13.5967 17.5 10.1178 17.5C6.86118 17.5 4.07589 15.5379 2.94432 12.7632L2.41165 11.3235M2.41165 11.3235L1.5293 15.7353M2.41165 11.3235L6.38224 13.0882"></path></g></svg></button><button tabindex="0" type="button" class="pencraft pc-reset pencraft icon-container view-image"><svg xmlns="http://www.w3.org/2000/svg" width="20" height="20" viewBox="0 0 24 24" fill="none" stroke="currentColor" stroke-width="2" stroke-linecap="round" stroke-linejoin="round" class="lucide lucide-maximize2 lucide-maximize-2"><polyline points="15 3 21 3 21 9"></polyline><polyline points="9 21 3 21 3 15"></polyline><line x1="21" x2="14" y1="3" y2="10"></line><line x1="3" x2="10" y1="21" y2="14"></line></svg></button></div></div></div></a></figure></div><p><strong>Minimally depressed, isolated right nasal bone fracture.</strong> The nasal septum and turbinates are normal.</p><div><hr></div><p></p><div class="captioned-image-container"><figure><a class="image-link image2 is-viewable-img" target="_blank" href="https://substackcdn.com/image/fetch/$s_!QubX!,f_auto,q_auto:good,fl_progressive:steep/https%3A%2F%2Fsubstack-post-media.s3.amazonaws.com%2Fpublic%2Fimages%2F4e4512c0-e3b3-43af-935e-489382abeec2_1284x1284.jpeg" data-component-name="Image2ToDOM"><div class="image2-inset"><picture><source type="image/webp" srcset="https://substackcdn.com/image/fetch/$s_!QubX!,w_424,c_limit,f_webp,q_auto:good,fl_progressive:steep/https%3A%2F%2Fsubstack-post-media.s3.amazonaws.com%2Fpublic%2Fimages%2F4e4512c0-e3b3-43af-935e-489382abeec2_1284x1284.jpeg 424w, https://substackcdn.com/image/fetch/$s_!QubX!,w_848,c_limit,f_webp,q_auto:good,fl_progressive:steep/https%3A%2F%2Fsubstack-post-media.s3.amazonaws.com%2Fpublic%2Fimages%2F4e4512c0-e3b3-43af-935e-489382abeec2_1284x1284.jpeg 848w, https://substackcdn.com/image/fetch/$s_!QubX!,w_1272,c_limit,f_webp,q_auto:good,fl_progressive:steep/https%3A%2F%2Fsubstack-post-media.s3.amazonaws.com%2Fpublic%2Fimages%2F4e4512c0-e3b3-43af-935e-489382abeec2_1284x1284.jpeg 1272w, https://substackcdn.com/image/fetch/$s_!QubX!,w_1456,c_limit,f_webp,q_auto:good,fl_progressive:steep/https%3A%2F%2Fsubstack-post-media.s3.amazonaws.com%2Fpublic%2Fimages%2F4e4512c0-e3b3-43af-935e-489382abeec2_1284x1284.jpeg 1456w" sizes="100vw"><img src="https://substackcdn.com/image/fetch/$s_!QubX!,w_1456,c_limit,f_auto,q_auto:good,fl_progressive:steep/https%3A%2F%2Fsubstack-post-media.s3.amazonaws.com%2Fpublic%2Fimages%2F4e4512c0-e3b3-43af-935e-489382abeec2_1284x1284.jpeg" width="1284" height="1284" data-attrs="{&quot;src&quot;:&quot;https://substack-post-media.s3.amazonaws.com/public/images/4e4512c0-e3b3-43af-935e-489382abeec2_1284x1284.jpeg&quot;,&quot;srcNoWatermark&quot;:null,&quot;fullscreen&quot;:null,&quot;imageSize&quot;:null,&quot;height&quot;:1284,&quot;width&quot;:1284,&quot;resizeWidth&quot;:null,&quot;bytes&quot;:303451,&quot;alt&quot;:null,&quot;title&quot;:null,&quot;type&quot;:&quot;image/jpeg&quot;,&quot;href&quot;:null,&quot;belowTheFold&quot;:true,&quot;topImage&quot;:false,&quot;internalRedirect&quot;:null,&quot;isProcessing&quot;:false,&quot;align&quot;:null,&quot;offset&quot;:false}" class="sizing-normal" alt="" srcset="https://substackcdn.com/image/fetch/$s_!QubX!,w_424,c_limit,f_auto,q_auto:good,fl_progressive:steep/https%3A%2F%2Fsubstack-post-media.s3.amazonaws.com%2Fpublic%2Fimages%2F4e4512c0-e3b3-43af-935e-489382abeec2_1284x1284.jpeg 424w, https://substackcdn.com/image/fetch/$s_!QubX!,w_848,c_limit,f_auto,q_auto:good,fl_progressive:steep/https%3A%2F%2Fsubstack-post-media.s3.amazonaws.com%2Fpublic%2Fimages%2F4e4512c0-e3b3-43af-935e-489382abeec2_1284x1284.jpeg 848w, https://substackcdn.com/image/fetch/$s_!QubX!,w_1272,c_limit,f_auto,q_auto:good,fl_progressive:steep/https%3A%2F%2Fsubstack-post-media.s3.amazonaws.com%2Fpublic%2Fimages%2F4e4512c0-e3b3-43af-935e-489382abeec2_1284x1284.jpeg 1272w, https://substackcdn.com/image/fetch/$s_!QubX!,w_1456,c_limit,f_auto,q_auto:good,fl_progressive:steep/https%3A%2F%2Fsubstack-post-media.s3.amazonaws.com%2Fpublic%2Fimages%2F4e4512c0-e3b3-43af-935e-489382abeec2_1284x1284.jpeg 1456w" sizes="100vw" loading="lazy"></picture><div class="image-link-expand"><div class="pencraft pc-display-flex pc-gap-8 pc-reset"><button tabindex="0" type="button" class="pencraft pc-reset pencraft icon-container restack-image"><svg role="img" width="20" height="20" viewBox="0 0 20 20" fill="none" stroke-width="1.5" stroke="var(--color-fg-primary)" stroke-linecap="round" stroke-linejoin="round" xmlns="http://www.w3.org/2000/svg"><g><title></title><path d="M2.53001 7.81595C3.49179 4.73911 6.43281 2.5 9.91173 2.5C13.1684 2.5 15.9537 4.46214 17.0852 7.23684L17.6179 8.67647M17.6179 8.67647L18.5002 4.26471M17.6179 8.67647L13.6473 6.91176M17.4995 12.1841C16.5378 15.2609 13.5967 17.5 10.1178 17.5C6.86118 17.5 4.07589 15.5379 2.94432 12.7632L2.41165 11.3235M2.41165 11.3235L1.5293 15.7353M2.41165 11.3235L6.38224 13.0882"></path></g></svg></button><button tabindex="0" type="button" class="pencraft pc-reset pencraft icon-container view-image"><svg xmlns="http://www.w3.org/2000/svg" width="20" height="20" viewBox="0 0 24 24" fill="none" stroke="currentColor" stroke-width="2" stroke-linecap="round" stroke-linejoin="round" class="lucide lucide-maximize2 lucide-maximize-2"><polyline points="15 3 21 3 21 9"></polyline><polyline points="9 21 3 21 3 15"></polyline><line x1="21" x2="14" y1="3" y2="10"></line><line x1="3" x2="10" y1="21" y2="14"></line></svg></button></div></div></div></a></figure></div><p><strong>Nasal bone and nasal septal fracture.</strong> Osseous septal fracture without associated hematoma. Bilateral minimally displaced nasal bone fractures.</p><div class="image-gallery-embed" data-attrs="{&quot;gallery&quot;:{&quot;images&quot;:[{&quot;type&quot;:&quot;image/jpeg&quot;,&quot;src&quot;:&quot;https://substack-post-media.s3.amazonaws.com/public/images/15889a16-92ea-471e-bd53-68cedca09600_1284x1284.jpeg&quot;},{&quot;type&quot;:&quot;image/jpeg&quot;,&quot;src&quot;:&quot;https://substack-post-media.s3.amazonaws.com/public/images/f12a443d-d0b6-4ae9-aca9-02d8e96e4c84_906x906.jpeg&quot;}],&quot;caption&quot;:&quot;&quot;,&quot;alt&quot;:&quot;&quot;,&quot;staticGalleryImage&quot;:{&quot;type&quot;:&quot;image/png&quot;,&quot;src&quot;:&quot;https://substack-post-media.s3.amazonaws.com/public/images/d205b955-49ca-4a57-aaca-36bbca05c41b_1456x720.png&quot;}},&quot;isEditorNode&quot;:true}"></div><p><strong>Nasal septal fracture with hematoma. </strong>Anterior septal soft tissue thickening. Osseous septal fracture.</p><div><hr></div><p>Naso-orbito-ethmoid (NOE) fractures are complex fractures of the nasal bones and the upper central mid-face from direct impact to the nasal bridge. Fragments of the nasal bones, ethmoid air cells, and medial orbital walls are compressed and displaced posteriorly toward the sphenoid sinus. Cribriform plate and ethmoid roof fractures, when present, can be associated with anosmia, pneumocephalus, or CSF leak. Complications include ocular, nasolacrimal duct, or nasofrontal duct injury. The medial canthal ligament, which anchors the globe, can be disrupted, with consequent enophthalmos, telecanthus, or ptosis. Traumatic nasolacrimal duct obstruction may require surgical repair.</p><p>CT scans should include reformations in three planes, with particular attention to the nasolacrimal ducts, attachment of the medial canthal ligament, and integrity of the anterior skull base.</p><div class="image-gallery-embed" data-attrs="{&quot;gallery&quot;:{&quot;images&quot;:[{&quot;type&quot;:&quot;image/jpeg&quot;,&quot;src&quot;:&quot;https://substack-post-media.s3.amazonaws.com/public/images/94f0eb5c-4397-43e1-9034-12a126cf9de7_927x927.jpeg&quot;},{&quot;type&quot;:&quot;image/jpeg&quot;,&quot;src&quot;:&quot;https://substack-post-media.s3.amazonaws.com/public/images/8a3c87f3-0a27-40cb-b90f-c0bb8c9bf846_1150x1150.jpeg&quot;}],&quot;caption&quot;:&quot;&quot;,&quot;alt&quot;:&quot;&quot;,&quot;staticGalleryImage&quot;:{&quot;type&quot;:&quot;image/png&quot;,&quot;src&quot;:&quot;https://substack-post-media.s3.amazonaws.com/public/images/39eaf832-6347-401b-bc51-ad9eb10b8587_1456x720.png&quot;}},&quot;isEditorNode&quot;:true}"></div><p><strong>Naso-orbital-ethmoid fracture.</strong> Severely comminuted nasal, ethmoid, and bilateral medial orbital wall fractures, with posterior telescoping of the ethmoid fragments. Extensive facial soft tissue swelling with associated bilateral intraorbital hematomas.</p><p></p><div class="subscription-widget-wrap-editor" data-attrs="{&quot;url&quot;:&quot;https://radnotes.substack.com/subscribe?&quot;,&quot;text&quot;:&quot;Subscribe&quot;,&quot;language&quot;:&quot;en&quot;}" data-component-name="SubscribeWidgetToDOM"><div class="subscription-widget show-subscribe"><div class="preamble"><p class="cta-caption">Thanks for reading RadNotes! Subscribe for free to receive new posts and support my work.</p></div><form class="subscription-widget-subscribe"><input type="email" class="email-input" name="email" placeholder="Type your email&#8230;" tabindex="-1"><input type="submit" class="button primary" value="Subscribe"><div class="fake-input-wrapper"><div class="fake-input"></div><div class="fake-button"></div></div></form></div></div><p class="button-wrapper" data-attrs="{&quot;url&quot;:&quot;https://alexanderbaxter.substack.com/?utm_source=substack&amp;utm_medium=email&amp;utm_content=share&amp;action=share&quot;,&quot;text&quot;:&quot;Share RadNotes&quot;,&quot;action&quot;:null,&quot;class&quot;:null}" data-component-name="ButtonCreateButton"><a class="button primary" href="https://alexanderbaxter.substack.com/?utm_source=substack&amp;utm_medium=email&amp;utm_content=share&amp;action=share"><span>Share RadNotes</span></a></p>]]></content:encoded></item></channel></rss>